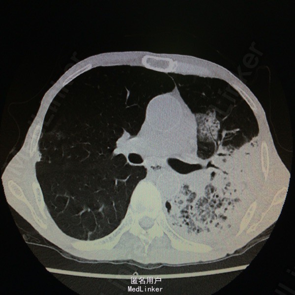
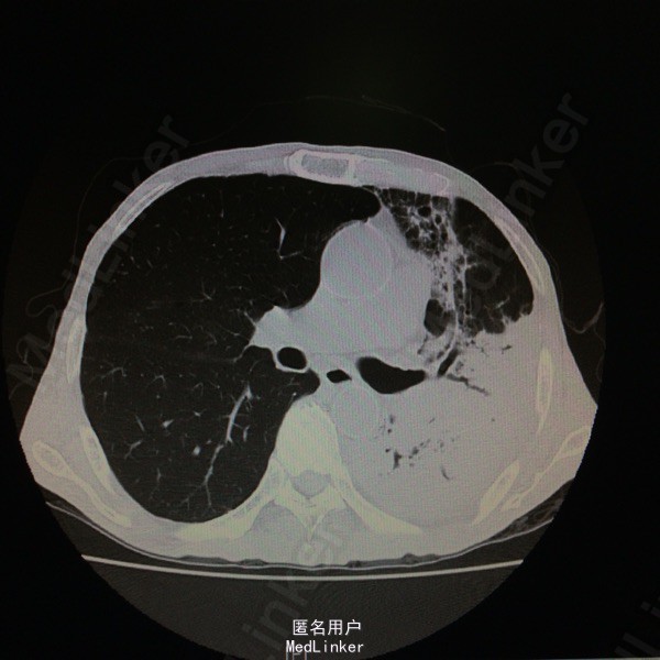
患者59岁男性,既往无特殊病史。 主诉:确诊肺癌3月余,发热伴咳嗽、 咳痰20余天。 现病史:3月余前因反复咳嗽、咳痰于当地医院查胸部CT示左肺门占位,后于广东省人民医院就诊,EUBS病理示肺鳞癌,临床分期cT4N0M0IIIA期,并开始EP同期放化疗。行第二周期化疗次日因“头晕头痛、恶心呕吐”等副反应未能进行并自行出院。后出现发热、咳嗽、咳痰,为大量黄脓痰,伴畏寒、Tmax 39.1度,至当地医院予“舒普深、替硝唑”治疗效果欠佳,仍反复发热,转上级医院查胸部CT示:左肺Ca放化疗后、左肺上叶团块影伴空洞,左肺上下叶炎性改变,多次痰培养阴性,予“亚胺培南、万古霉素、左氧氟沙星”治疗症状仍反复,Tmax38.5度,复查CT无好转,遂入院。
查体:T37.7度,P130次/分,BP 77/59次/分,神情,恶病质,双肺呼吸音粗,未及干湿罗音。 辅助检查:胸部CT示:双肺感染、左肺实变部分坏死。支气管镜示:左上叶气管黏膜感染:真菌?结核?黏膜病理报:符合真菌感染,形态学考虑为曲菌。多次痰培养示:曲霉菌感染。白细胞 12.9*10E9/L,CRP 140ng/ml,ESR 140mm/h,PCT 0.676ng/ml。




诊断:肺曲霉菌感染、肺癌放化疗后。 治疗:病理报告回报前据患者体温情况先后予“美平、大扶康、替考拉宁”、“伏立康唑、利复星”、“舒普深、伏立康唑”等治疗,加用伏立康唑后体温高峰有下降,但仍有发热。病理回报后,16/9予“伏立康唑、两性霉素B”治疗,体温可降至正常。




随访:患者现予“伏立康唑、两性B”治疗,体温正常,咳嗽咳痰明显好转。复查胸部CT示:左肺上叶病变较前进展,下叶病变较前吸收,左肺实变部分坏死空洞范围较前扩大。 讨论:据痰培养及病理,可明确诊断“肺曲霉菌感染”;予两性霉素B治疗后体温可降至正常,支持该患者发热为曲霉菌感染所致。痰培养及病理结果均支持曲霉菌感染的病例还是少见的。就患者体温变化而言,示治疗有效;其胸部CT示左肺坏死空洞较前扩大,其左肺大部分为坏死组织,空洞会随着这些组织的排出而变大。


