下载或打开 医联APP 查看完整评论
立即下载
打开APP
主诉:下颌后牙缺失十年余,要求镶牙 现病史:患者10余年前因牙齿松动于外院拔除下颌双侧后牙(具体不详),偶有咀嚼无力感,现无明显自发痛、冷热刺激痛 既往史:否认高血压、心脏病、糖尿病等重大疾病史,否认重大外伤史、传染病史、严重过敏史。



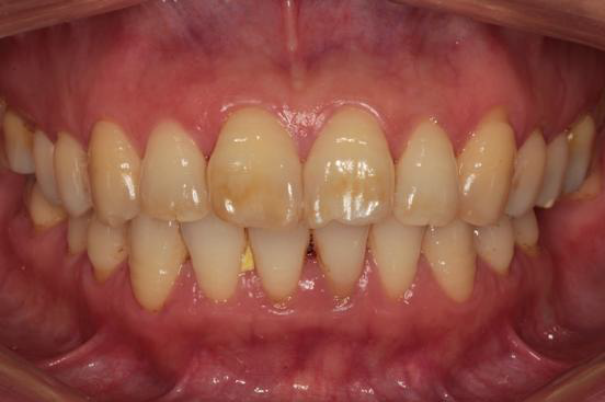
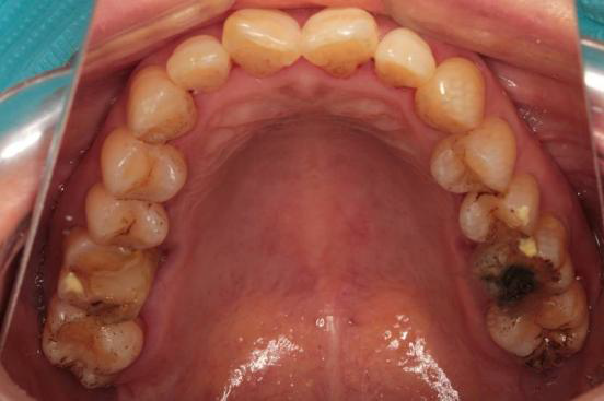
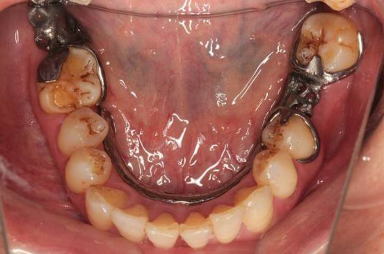
检查: 口腔卫生条件可,CI=1, DI=1,牙龈无充血肿胀,BOP(-),牙龈退缩约0.5~1mm,未探及深牙周袋,PD:3~4mm;口腔黏膜色性质正常, 舌体大小、形态、活动度正常。 36、47缺失,右侧下颌为游离端缺失,缺牙区近远中间隙及HE龈间隙可;剩余牙槽嵴吸收呈I型,高圆形;35、37牙体未见明显缺损,叩(-),松(-),46近中颊HE面有一大面积磨耗,探(-),叩(-), 松(-),上下前牙切端不同程度磨耗,并有不同程度的黄染,16远中HE面有一大面积黑色色素沉着,探(-),叩(-),松(-)





诊断:1. 下颌牙列缺损(Keneedy II类 I亚类) 2. 慢性牙周炎 处理: 取上下颌研究模型,行RPD设计, 根据设计进行牙体预备,取模,试戴钛支架,比色,试戴RPD,复查。
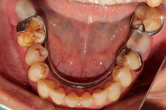
美观性差是可摘局部义齿修复的一个缺陷。传统的卡环要通过尽可能的环抱基牙来或的固位,在张口动作时很容易暴露唇颊侧的金属卡环,然而美学卡环的出现恰恰能一定程度上解决了这个问题。