下载或打开 医联APP 查看完整评论
立即下载
打开APP
主诉:反复吞咽不畅2月余 病史:患者反复吞咽不畅2月余,吞咽固体、质硬食物时明显,伴恶心、呕吐少量食物,呕吐多在进食半小时内发生。无呕血、咯血、黑便,体重下降约4Kg。
查体:全身浅表淋巴结未触及肿大。腹平软,无压痛、反跳痛。 辅查:1、胃镜:贲门Ca?;2、上腹部CT示:贲门胃底癌,浸润胃壁全层,小网膜囊多发稍大淋巴结。






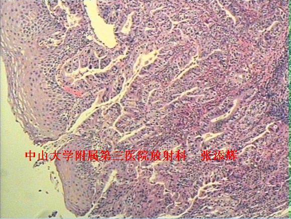
诊断:贲门癌 治疗:排除手术禁忌征后,全麻下行“腹腔镜下根治性全胃切除术”。术中及术后病理诊断为“中-低分化腺癌,浸润胃壁全层,1/61枚淋巴结转移,分期T3NIM0,ⅡB期”。


讨论:贲门癌发病率和病死率均较高,临床上其诊断主要依靠胃镜检查+病理活检,然而CT检查也是贲门癌必不可少的术前检查,术前CT不仅能了解贲门癌病变局部情况,还可以观察周围结构及远处转移的情况,特别是对于淋巴结的转移,贲门癌淋巴结转移多位于贲门旁、胃小弯、胃左动脉及腹腔动脉周围淋巴结,平时读片是应该多注意这些部位的淋巴结是否肿大。 参考文献:Stein HJ,Feith M,Siewert JR. Cancer of the esophagogastric junction [J].Surgical Oncology,2000,9(01):35-41 .doi:10.1016/S0960-7404(00)00021-9 .