下载或打开 医联APP 查看完整评论
立即下载
打开APP
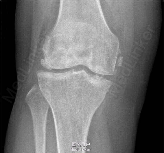
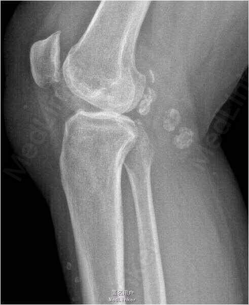
患者男,71岁,因”右膝关节反复疼痛5年余“入院。患者5年前右膝关节无明显诱因出现反复疼痛,偶伴关节绞索,上下楼梯后疼痛加重,休息后稍有缓解,余未见明显异常。
查体:右膝关节活动度20-110°,髌骨加压研磨试验(+)。 X线检查可见右膝关节多发游离体形成。


诊断:右膝关节游离体形成。行关节镜下关节腔清理术及游离体取出术。术后予玻璃酸钠关节腔内注射。
现患者随访3个月,关节活动度良好,疼痛症状明显缓解。 膝关节内游离体较多见,主要来源于剥脱性骨软骨炎、滑膜骨软骨瘤病、骨赘、关节面骨折、损伤的半月板。治疗主要是摘除关节内游离体,可切开关节施行,也可在关节镜下取出。对带关节面的骨软骨碎片尽可能复位固定。