下载或打开 医联APP 查看完整评论
立即下载
打开APP
患者56岁,一月前发现牙龈肿痛,二周前进食时有不适感。患者有糖尿病。
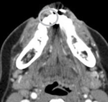
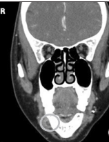
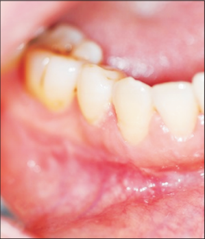
口内检查发现患者右下颌前磨牙颊侧前庭处可见一肿胀,约2*1.5cm大小,质韧,扪诊无疼痛。颈部及颌下淋巴结未见肿大。 全景片未见明显异常。 CT显示右下颌第一前磨牙处有一约2cm大小低密度肿块




由于肿块靠近颏孔,术中需要精细解剖,以确保最小的神经损伤。




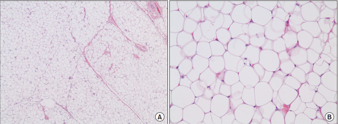
口腔脂肪瘤在临床中实属罕见,通常无症状,生长缓慢,手术切除为主要的治疗手段。由于病例中脂肪瘤的位置靠近重要的解剖结构,术中一定要注意 保护好周围的神经,以免造成神经损伤。 doi.org/10.5125/jkaoms.2015.41.4.213