打开应用

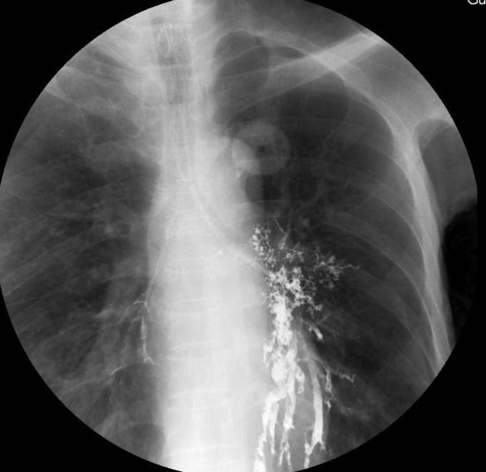
钡餐误吸

张医师   广州市第八人民医院
吞咽困难

主诉 病史

男性,61岁吞咽困难1月 进行性吞咽困难,无饮水呛咳,无发热,无咳嗽 咳痰

查体 辅查

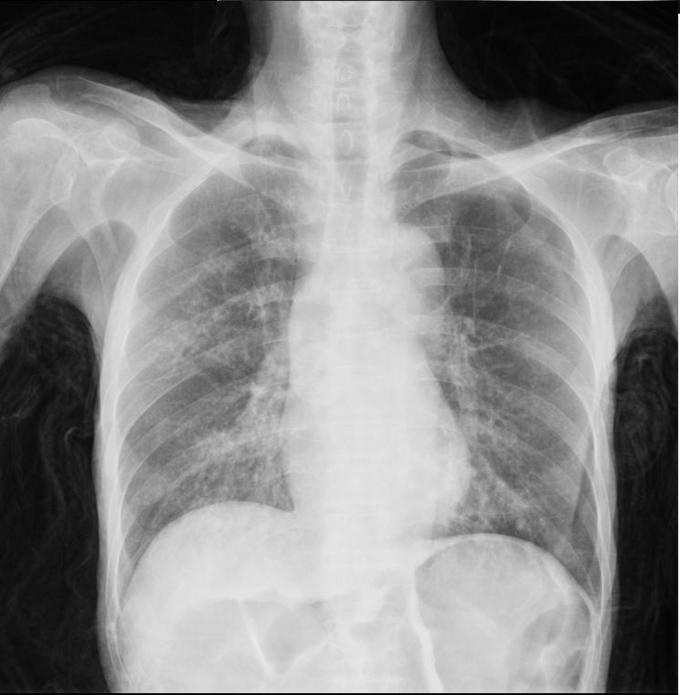
消瘦,双肺未闻及干湿性啰音。浅表淋巴结无肿大。

诊断 处理

吞咽困难查因 安排吞钡试验

随访 讨论

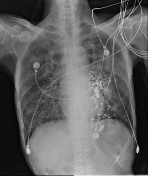
患者白日行钡餐检查,夜间出现呼吸困难,血氧饱和度下降,考虑存在1型呼吸衰竭 讨论: 1.目前针对钡餐误吸性肺炎的治疗措施哪些有意? 2.如何预防本次事件?

发布于 15-09-27 22:28

1 个评论

发送