1.老年患者,慢性起病,以“发现血便2个月”为主诉入院。 2.现病史:患者2个月前无明显诱因出现血便,便中伴有暗红色血液,大便颜色加深,无发热,无腹痛腹胀,无便秘腹泻,无呕血。无排便习惯改变,近1个月患者出现有便意,无排便情况,并出现少量便血,1天前就诊于当地医院,行肠镜检查提示:结肠多发息肉,结肠占位,并取病理,病理未回报,为求进一步诊治来我院,门诊以“结肠占位”为诊断收入院。患者病来饮食睡眠可,大便带血,无排便习惯改变,小便正常,精神体力可,近期体重无明显变化。
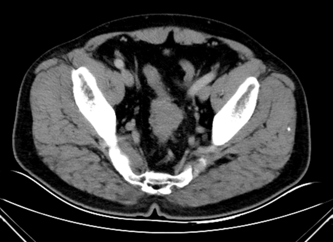
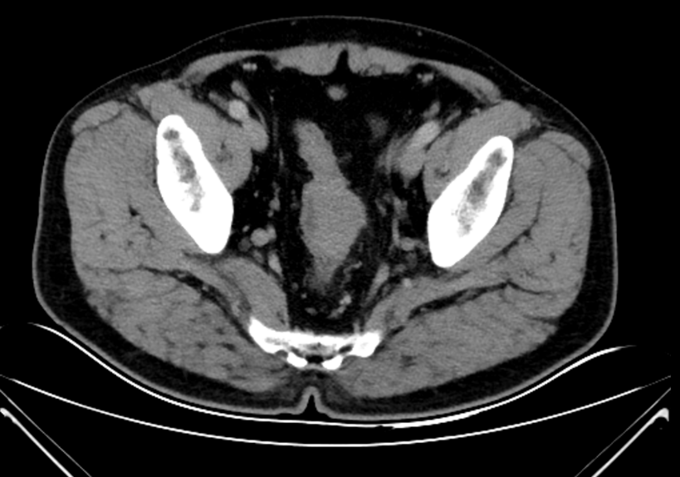
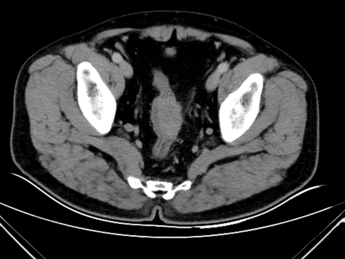
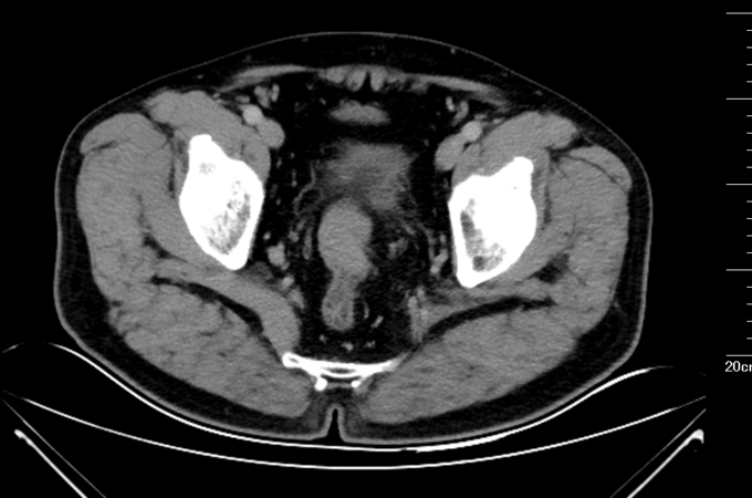
查体:腹平坦,未见胃肠型及蠕动波,未见腹壁静脉曲张。全腹软,未触及腹部肿块,压痛(-),反跳痛(-),肌紧张(-)。肝脾肋下未触及,Murphy’s 征(-),肝区叩击痛(-),移动性浊音(-)。肾区叩击痛(-)。肠鸣音正常,4次/分。肘膝位,肛门进指顺利,进指约7cm,未触及明确肿物,退指指套无染血。 辅助检查:马应龙肛肠医院肠镜检查显示:距离肛门60cm30cm见两枚大小约0.3*0.2cm息肉,表面光滑,广基、无蒂、无色泽略红,距肛门15cm处可见一半环行菜花样粘膜隆起。表面凹凸不平,出血、糜烂与污秽交织在一起,隆起向腔内生长,至管腔狭窄,镜身未通过,取病理5块。 术前腹部CT:乙状结肠下段肠壁增厚




诊断:直肠癌 治疗:腹腔镜下直肠癌根治术:全麻成功,病人仰卧截石位。消毒术区皮肤,铺无菌手术巾。以两把巾钳从脐窝两侧将腹壁提起,于脐窝上部切口10mm,行气腹针穿刺,成功刺入腹腔后,接上气腹机充气,维持腹内压在12mHg。气腹成功后,再次提起腹壁,于脐部切口行10mm套管针穿刺,穿刺成功后放入腹腔镜镜头。改体位头低脚高右倾位,分别于右中、下腹及左中腹做12mm 、12mm、5mm、5mm切口,在腹腔镜监视下,分别行12mm、12mm、5mm、5mm套管针穿刺。其中12mmTrocar为一次性,经各套管针内分别放入肠钳、超声刀。探查腹腔,见腹腔内无渗出,无转移结节,肝脏表面光滑,盆膈以上未见肿瘤,后腹膜未见明显肿大淋巴结,肠腔无狭窄及梗阻扩张,根据探查结果,结合术前检查,决定行直肠癌根治术。 肠钳提拉乙状结肠,超声刀打开乙状结肠系膜,找到乙状动脉及静脉,确认无误后上可吸收夹后切断,向下游离乙状结肠,上可吸收夹后断直肠上动脉,超声刀切开腹膜反折,在此可见肿瘤,周围无明显浸润,超声刀游离直肠上段,游离至肿瘤下方4cm,向上游离至降结肠下段,提拉乙状结肠,打开乙状结肠与侧腹膜的粘连,向上游离至降结肠侧腹膜,分别用超声刀裸化预切除处的直肠,进爱惜龙45切割闭合器两个于已经裸化的直肠上段横断,于左下腹两个Trocar口之间切开,逐层入腹,停止气腹,切口周围保护后将乙状结肠提出切口外,切断预吻合处的乙状结肠系膜并将其裸化,于已裸化处上烟包器,进烟包线后切断,进31号吻合器抵钉座后收紧备用,于肛门周围再次消毒,扩肛后进吻合器,于直肠断端穿出,与抵钉座对和后击发,行结直肠端端吻合,吻合后取出吻合器,检查见吻合确切,吻合口无张力,血运好,缝合切口后再行气腹,热蒸馏水冲洗、浸泡术野后,于盆腔置胶管引流一枚,由左下腹Trocar口引出,创面喷洒万特普安十支。拔除器械,排除气腹,逐层逐个缝合各切口,清点纱布器械无误,手术完毕。
术后病理:直肠中分化管状腺癌,Ⅱ级,浸润浆膜下脂肪,T3 双侧断端未见癌 肠周淋巴结反应性增生(0/11) 免疫组化:CD34,D2-40,S-100染色未见明显脉管及神经侵犯 讨论:腹腔镜下结直肠恶性肿瘤切除术一直争议较多,争议的焦点在于这种技术是否能达到和传统开腹手术一样的根治性。目前,已有较大宗的临床报道认为,采用腹腔镜技术,在结直肠恶性肿瘤的切除标本中,安全切缘、淋巴结清扫数日、患者的复发率、转移率和生存率与传统手术并没有明显的差异。