下载或打开 医联APP 查看完整评论
立即下载
打开APP
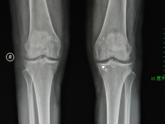
患者女,53岁。因“双膝疼痛3周”入院。现病史:患者于3周前无明显诱因出现双膝关节疼痛不适,以左膝为主,上下楼及下蹲时疼痛明显加重,于当地医院就诊行拍片及“血沉”,“RF”及“ASO”检查后专至我院,门诊检查双膝MRI示“双膝OA:双膝游离体“诊断收住院。患病以来患者一般情况良好。 既往:乳腺增生手术史10余年。
查体:生命体征平稳,心肺腹体检未见明显异常。专科情况:双膝略显肿胀,压痛可疑阳性,过伸过屈阳性,浮髌试验可疑阳性,双膝内外侧方实验阴性,抽屉实验可疑阳性,双下肢远端血循环、运动和感觉可。 检查:双膝OA,滑膜炎,腘窝多个小滑膜囊肿形成。


诊断:1、双膝游离体。2、双膝OA。 治疗:有手术指征,无明显禁忌症,拟行关节镜下膝关节内游离体切除术。
随访:患者预后良好,本例手术应注意避免损伤血管及神经,预防深静脉血栓。