下载或打开 医联APP 查看完整评论
立即下载
打开APP
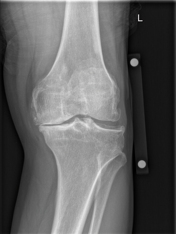
双侧膝关节间歇性疼痛6年余,加重半年余 患者6年前出现下楼时膝关节隐痛,间歇性发作。平地行走时未感疼痛。于外院行MR检查,建议手术治疗。患者自觉症状较轻,药膏敷贴症状可缓解。暂时保守治疗。今年患者疼痛症状加重,休息时也感觉膝关节疼痛。阴雨天时疼痛加重,需拄拐行走,约200m需要停下休息
双侧下肢力线可,膝关节轻度肿胀。皮温略高。轻度屈曲畸形,活动度可。 X片提示 双侧膝关节退行性病变

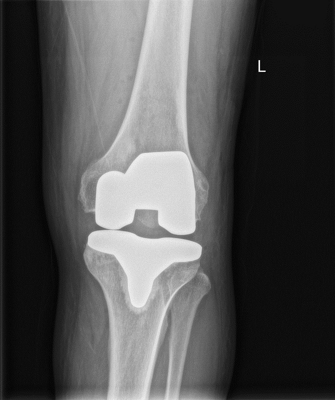
膝关节OA 左侧膝关节全膝置换术(TKA)

术后2日 引流管拔除后开始功能锻炼。后7天屈曲超过90°,6周后步行不需要辅助。 目前人工膝关节可供选择的假体很多,各位同道是如何取舍的呢?