患者老年男性 主诉:肝硬化18年,腹痛、发热1天 病史:18年前因消化道出血诊断为乙肝肝硬化,有慢性乙肝21年,2011年发现肝右叶癌结节,行介入及射频消融术,多次出现肝性脑病,近日饮食不当后出现腹痛,疼痛部位以上腹部为主,性质为胀痛,排便后腹痛症状可缓解,昨日大便6次,伴有发热,最高体温达38.7℃ ,偶伴恶心,无呕吐,无寒战,无黑便。有家族史。
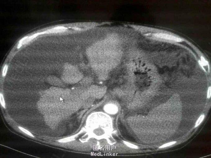
查体:全身皮肤黏膜黄染,颈前可见数玫蜘蛛痣,巩膜黄染;肝浊音界存在,移动性浊音阳性,腹部膨隆,软,下腹压痛,无反跳痛,未触及腹部包块,肝脾触诊不满意,肠鸣音减弱,双下肢凹陷性水肿。 辅助检查:腹部B超,1.肝硬化2.腹腔大量积液(深约13.8㎝)腹部CT:1肝方叶局限性膨隆2肝硬化,门静脉高压3胆囊炎8月29日 凝血:纤维蛋白原 0.80g/L,凝血酶原时间20.9秒,8月30日 降钙素原0.63ng/ml,生化:钾离子5.77mmol/L,谷草,51IU/L,白蛋白20.8g/L,直接胆红素:79.1umol/L,间接胆红素:82.5umol/L,总胆红素,161.6umol/L,肾功:血肌酐 171umol/L,9月2日 血培养提示大肠埃希菌,9月7日复查:直接胆红素:69.8umol/L,间接胆红素:56.2umol/L,总胆红素,126.0umol/L,9月13号:直接胆红素:97.5umol/L,间接胆红素:82.0umol/L,总胆红素,179.5umol/L,白蛋白,23.8g/L;9月18日 直接胆红素:152.4umol/L,间接胆红素:83.1umol/L,总胆红素,235.5umol/L,白蛋白,25.0g/L;




诊断:1肝硬化失代偿2自发性腹膜炎3慢性乙肝 治疗: 入院后给予,埃索美拉唑抑酸,门冬氨酸鸟氨酸,还原谷胱甘肽针保肝,思美泰退黄;8月29日报危急值,凝血功能异常,给予维生素K1静滴,改善凝血;行腹腔穿刺引流腹水,每日引流量约800ml,给予美罗培南抗感染,8月30日查血小板 44×109/L,患者血肌酐高 171umol/L,考虑慢性肾功能不全,减少液体入量,9月1日停还原性谷胱甘肽针剂;9月4日 尿量600ml,下肢水肿加重,给予利尿合剂泵入,9月9日腹腔穿刺置管术后11天,复查B超:腹水最大深度约9.8㎝;9月12日 抗生素应用14天,停用抗生素,拔出引流管;9月13日 给予人血白蛋白纠正低蛋白血症,胆红素上升,给予还原性谷胱甘肽针剂保肝治疗,9月19日再次行腹腔穿刺引流腹水,9月21日患者出现肝昏迷症状,给予瑞干、支链氨基酸、乳果糖对症治疗后好转,大便常规提示,霉菌感染;9月22日继续给予美罗培南抗感染,大蒜素肠溶片抗真菌治疗;9月23日,患者腹水较前减少,仍有移动性浊音阳性,下肢轻度凹陷性水肿,患者出院。
随访、讨论:肝硬化是引起腹水的主要的病因,肝硬化患者一旦出现腹水,标志着硬化已进入失代偿期(中晚期)。 肝腹水是肝硬化最突出的临床表现,该患者有长期慢性乙肝病史,发展为肝硬化,出现难治性腹水,自发性腹膜炎;自发性腹膜炎又加重腹水,继发性脾功能亢进;病程中出现肝性脑病,感染为其诱发因素,患者肝脏明显缩小,并有肝癌病史,肝功能失代偿,总体预后差,预计生存期短。