下载或打开 医联APP 查看完整评论
立即下载
打开APP
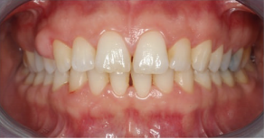
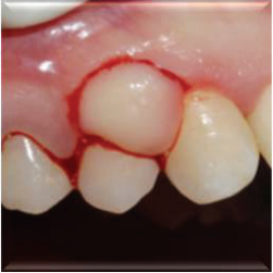
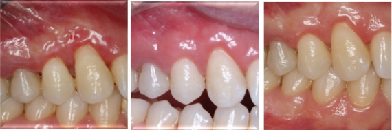
患者38岁,女,发现牙龈无痛性增生肿胀。患者未服用任何药物,未处于妊娠期,家族史无异常。
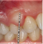
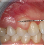
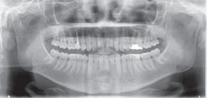
口内检查发现患者13、14牙间牙龈肿胀,质硬,无蒂,牙龈周围轻度菌斑堆积,牙龈轻度红肿。13、14牙不松动。





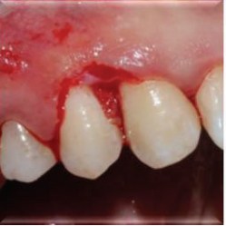
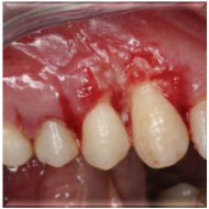
计划切除增生牙龈。由于增生范围较大,拟利用腭侧牙龈进行软组织修复。








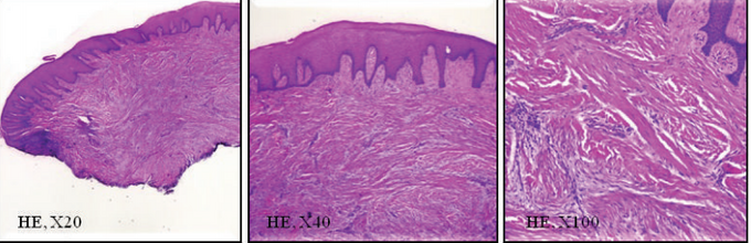
患者1月、6月、12月后复诊,恢复良好,无复发。 牙龈纤维瘤在临床属于较常见疾病,多采用手术切除方式,注意要与其他类型牙龈增生相鉴别。手术切除纤维瘤后,若缺损较大,尤其实在美学区,影响美观,可以利用周围皮瓣进行修复。术后菌斑控制也很重要。
