下载或打开 医联APP 查看完整评论
立即下载
打开APP
患者 女 59岁 主 诉:绝经后出血4月,发现子宫内膜癌半个月。 现病史:既往月经规律,54岁自然绝经,否认激素替代,2014年4月开始口服“泰国蛇胆”药物,每月一次,口服一年。4月前无明显诱因出现阴道少量出血,色鲜红,淋漓不尽至今,无发热、腹痛,无接触性出血,阴道分泌物无异常。2015年6月曾在外院就诊,外院查CEA正常,未见其他肿瘤标志物指标,自诉予“消炎、止血”治疗,无明显好转。 既往史:30年前行绝育术,10年前左手无名指外伤肌腱断裂缝合史。



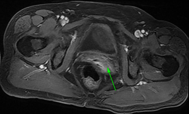
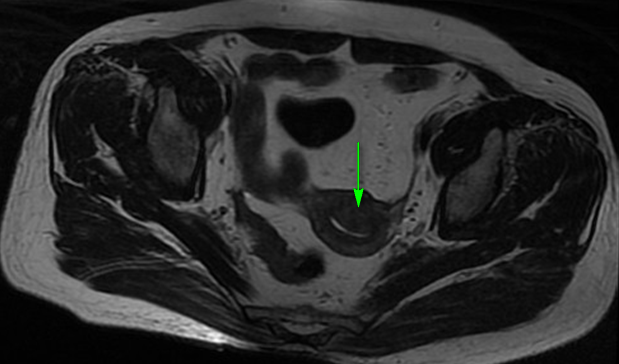
1、B超:内膜厚0.5cm,子宫多发肌瘤,较大者1.5*1.4cm,宫腔下段至宫颈管内见低回声,约1.9*1.9*2.8cm,请结合临床除外占位病变; 2、诊刮术,病理回报:低分化癌,符合透明细胞癌; 3、盆腔MRI:子宫内膜不规则增厚,结合带显示欠清,宫底部短T2结节影,肌瘤可能,宫颈饱满,后壁片状长T2信号。
子宫内膜低分化癌 腹腔镜下子宫内膜癌分期术(全子宫+双附件切除+大网膜切除+盆腹腔淋巴结清扫+腹膜多点活检术)
鉴别诊断:子宫内膜癌:雌激素依赖型及非雌激素依赖型。 雌激素依赖型:发生在无孕激素拮抗的雌激素长期作用下,发生子宫内膜增生症,甚至癌变。此类型占子宫内膜癌的大多数,均为子宫内膜样腺癌,肿瘤分化较好,雌孕激素受体阳性率高,预后好。 非雌激素依赖型:发病与雌激素无明确关系。多见于老年体瘦妇女,在肿瘤恶性度高,分化差,雌孕激素受体多呈阴性,预后不良。 该患者为非雌激素依赖型,预后不好。手术后定期复查,及早了解复发情况。