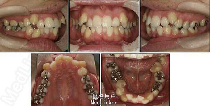
24岁女性,主诉前牙拥挤,左侧第二磨牙严重向舌侧倾斜,左侧咀嚼困难因为第二磨牙锁合,要求解决。


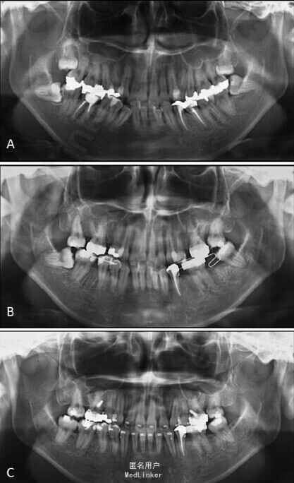
面部:凸面型,上下唇前突,上唇E线前3.5mm,下唇E线前9.5mm,闭唇时口周肌肉紧张。口内检查:双侧尖牙磨牙I类关系,左侧7锁合,覆盖4.5mm,覆合1mm,中线正,上颌拥挤度12.5mm,下颌拥挤度8.2mm。全景片示4个第三磨牙均阻生,怀疑上颌第二磨牙远中面因8阻生有牙根吸收,下颌8近中倾斜阻生更严重,右下6、左下4和5都行了RCT并大面积充填。头影测量示骨性I类,高角,下切牙唇倾。无TMJ症状,只是咀嚼测试时,右侧(非锁合侧)较左侧速度更快且更稳定。


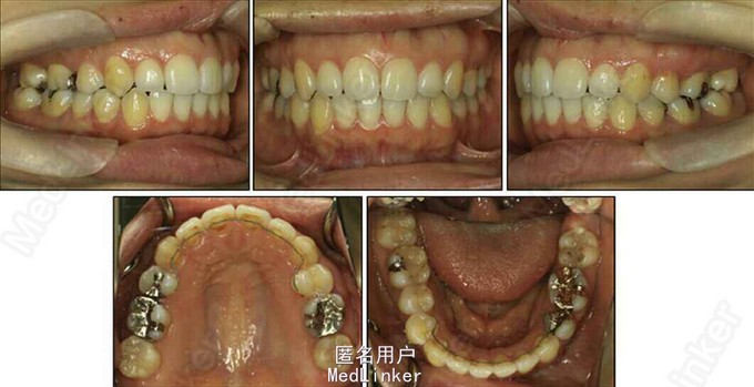
诊断:安氏II类1分类,双颌前突,牙列严重拥挤,左下7锁合,双侧上7牙根吸收,四颗第三磨牙阻生 治疗目标:减少唇的突度及前牙拥挤,扶正4颗阻生的第三磨牙,达到良好的面部美观和功能咬合。 治疗:上颌拔除2颗5和2颗7(不拔4的原因为左上4为正常牙,左上5大面积充填;右上4形态较右上5好。因拔除了坏牙保留了健康牙齿,但是拔5不利于前牙的内收,所以于上后牙56之间植入了支抗钉加强支抗,辅助内收前牙。拔7原因为两颗7远中面均有牙根吸收且有大面积充填),下颌左侧拔除5和7(左下5根管治疗且根尖阴影,拔除左下7原因为严重锁合,改正困难且容易导致上下磨牙的伸长加重II类高角面型),右侧拔除根管治疗且大面积充填后的6;分别竖直4颗近中倾斜阻生的8,整个疗程39个月,四颗8成功的代替6或7。双侧I类尖牙关系,左侧磨牙I类关系,右侧磨牙完全远中关系。唇突度改善,全景片可见达到可接受的牙根平行度,4个8完全萌出直立。以前因为锁合导致的两侧咬合不对称没有了。








用阻生的第三磨牙代替缺损很大的磨牙是保留健康牙齿很有效的方法。患者1年后5个月随访,效果依然稳定。

