下载或打开 医联APP 查看完整评论
立即下载
打开APP
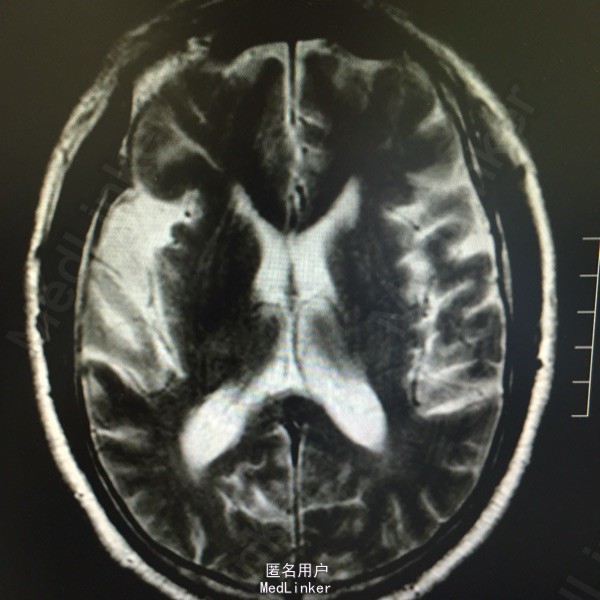
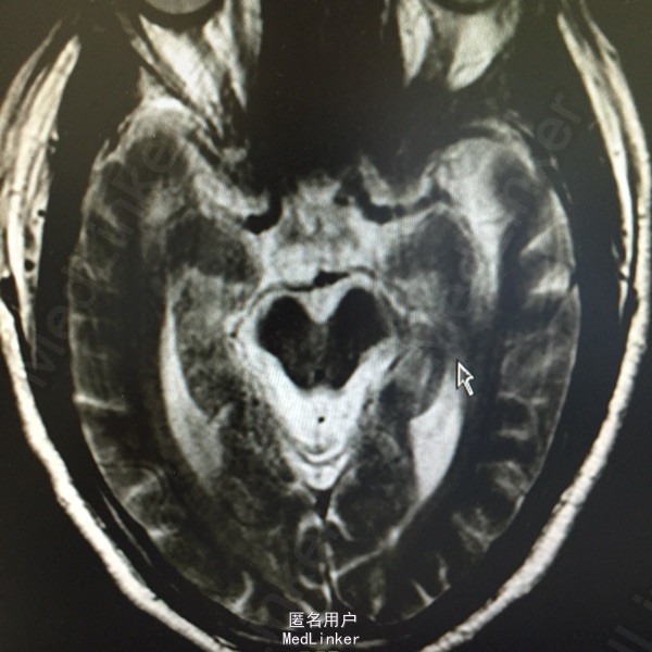
头痛伴视物双影5天。既往高血压、糖尿病、脑梗死。该患于入院前5日无明显诱因出现视物双影,偶伴头痛,不伴有恶心、呕吐,无视物旋转,无吞咽困难,病程中无肢体活动障碍,无言语不清,无意识障碍及尿便失禁。曾有中耳炎病史,伴有听力减退,曾于入院前3日在眼科医院激光治疗眼底出血。为求进一步诊治而来我院。
查体:神清语利,左眼内收受限,鼻唇沟对称,伸舌居中,双耳听力减退,肌力肌张力正常,双下肢病理症(-)颈强(-)。





诊断:脑梗死、高血压、2型糖尿病、高脂血症、中耳炎 治疗:营养神经、改善循环、神经生长因子、降脂、抗炎对症治疗。
患者住院14天,出院时视物双影基本消失,无头痛主诉。是否可以给出更详细的诊断?