下载或打开 医联APP 查看完整评论
立即下载
打开APP
患者女,42岁,因“右髋部胀痛1+年,加重1+月”入院。患者于1年前无明显诱因出现右髋部疼痛,疼痛逐步加重,需服用止痛药。近期有明确“感冒”症状。


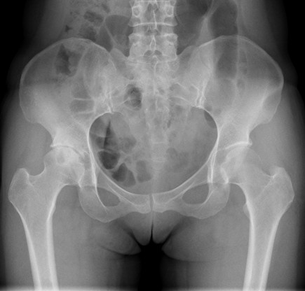
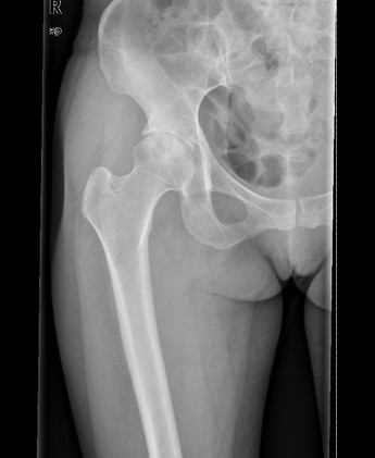
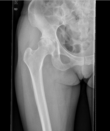
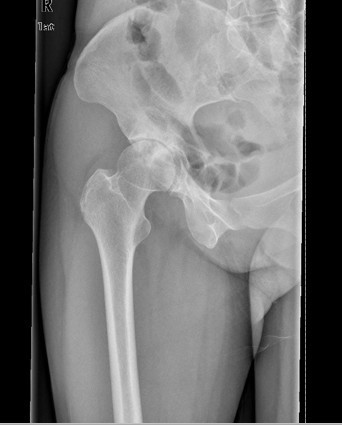
查体:右髋部软组织未见肿胀,双下肢皮肤无破溃,双足趾间皮肤干燥、完好。右髋部后侧轻压痛,双侧足背动脉和胫后动脉搏动正常。 辅查:X线:双侧侧髋臼较浅,髋臼外上方软骨下骨硬化及骨赘,Sharp角右侧约48°、左侧约50°,CE角右侧约20°、左侧约18°,右侧髋关节间隙狭窄,右侧髋臼、股骨头可见囊性改变。

诊断: 1.右侧髋关节发育不良骨关节炎(crowe I型) 2.左侧髋关节发育不良(crowe I型) 3.上呼吸道感染 治疗:排除手术禁忌症后择期手术治疗。

暂未随访
