患者,女,58岁 主诉:咳嗽咳痰2月 现病史:患者2月前无明显诱因下出现咳嗽咳痰,呈阵发性,咳嗽不剧,能忍,稍有咳痰,为黄色粘痰,无发热,无胸闷气促,无胸痛心悸,无咯血痰血,无盗汗,患者病初平湖市中医院就诊,查胸部CT示“右肺中叶炎症,右肺上叶多发肺大泡”,予抗感染治疗9天(具体不详),后复查胸部CT示“右肺中叶高密度灶,建议增强扫描;右肺上叶肺大泡”,患者遂至本院门诊就诊,查胸部增强CT示“右肺中叶外侧段结节,恶性不除外,建议随访复查”,为求进一步诊治,门诊拟“肺占位性病变”收住入院。 患者病来,神志清,精神可,胃纳佳,睡眠安,大小便无殊,近期体重未见明显增减。 既往史: 既往健康状况一般。否认“高血压病、糖尿病”病史,否认有“甲状腺功能亢进症”等其它内分泌疾病史,否认有“心脑血管、肝、肾”等重要脏器疾病史,否认有“肝炎、结核、伤寒”等传染性疾病史,否认有重大外伤史,否认有重大手术史,否认有输血史,否认有中毒史,否认有药物食物过敏史,预防史不详。






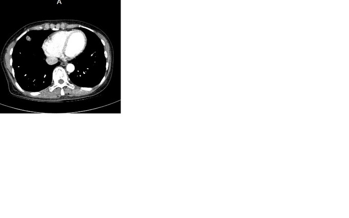
辅助检查:2015.7.31胸部CT(196593):右肺中叶炎症,右肺上叶多发肺大泡。2015.9.10胸部CT(200837):右肺中叶高密度灶,建议增强扫描;右肺上叶肺大泡。2015.9.16胸部增强CT:右肺中叶外侧段结节,恶性不除外,建议随访复查。右上肺肺气囊。右侧第5肋骨致密影。附见:肝脏膈面海绵状血管瘤考虑;肝脏囊肿。2015.9.11血常规:未见明显异常。入院后检查:09月19日心电图:窦性心律;正常范围心电图。09月19日超声:心脏:三尖瓣轻度返流,右侧甲状腺结节伴钙化,双侧颈动脉局部内膜增厚伴左侧斑块。09月19日 总IgE测定+降钙素原定量检测:免疫球蛋白E104.90IU/ml。09月19日 甲功全套+肿瘤系列(女7项)+生化分析(病房):肌酸激酶184IU/L,乳酸脱氢酶316IU/L,血管紧张素转化酶10IU/L,胆固醇6.15mmol/L,抗甲状腺球蛋白抗体77.76U/ml,铁蛋白304.0ng/ml,同型半胱氨酸17.97μmol/L,肾小球滤过率估值1121.17ml/(min*1.73m^2。09月21日 尿常规:尿潜血2+,结晶+个/LP,白细胞酶1+。09月19日 BNP、血液常规/HCRP、结核杆菌抗体、红细胞沉降率测定ESR、活化CD4细胞+活化CD8细胞+淋巴细胞亚群(T/B/NK、血流变、血凝/D二聚体、肿瘤系列(6项)、大便常规隐血、过敏源/IgE、呼吸道核酸检测、抗核抗体测定(ANA)+ENA谱+ANCA、荧光法病原体抗体:未见异常。09月22日咽拭子一般细菌/真菌/嗜血菌:未培养出嗜血杆菌,正常菌群,未培养出真菌。09月23日痰结核菌涂片:未找到抗酸杆菌。09月24日痰一般细菌/真菌/嗜血菌:未培养出真菌,未培养出嗜血杆菌,正常菌群。09月23日气管镜各级支气管通畅,刷片:(气管镜刷片)未见肿瘤细胞。灌洗液抗酸杆菌阴性,09月23日针吸涂片:(收到针吸涂片)未见肿瘤细胞。09月25日右肺结节:(右肺穿刺活检组织)肉芽肿性炎,倾向结核。
肺结核
根据病理结果,诊断肺结核,转结核科治疗。 肺部孤立性结节的知识点就不贴了,大家都很了解了。下面说说自己的体会,看到病理结果我的心中是一万只草泥马飞过,这不符合预期啊。 本病例胸部CT一直提示恶性,孤立性结节,形状不规则,大于1cm,有毛刺,有中央钙化,有明显强化,不太符合结核的好发部位,也不符合结核的多病灶,多堆聚,多钙化,少肿块,少增强的特点,所以一直当恶性肿瘤来看待,对临床有一定的误导。经验是看胸部CT还是要再认真仔细点,多考虑不典型表现,多学习各种肿块的特点,多考虑各种可能,少点盲目自信。