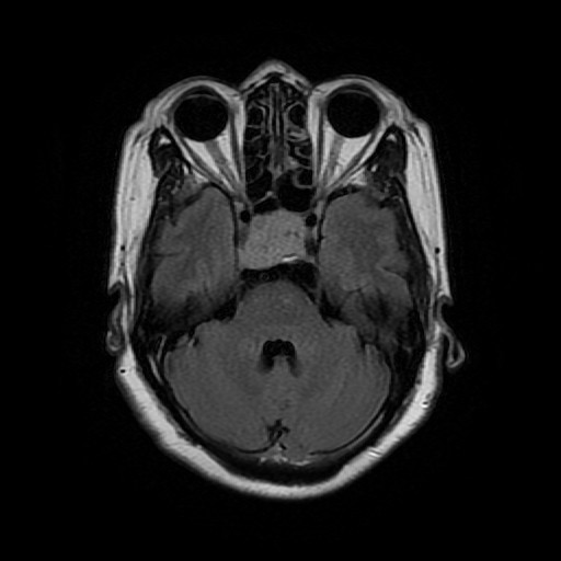
患者:女,61岁 主诉:视物模糊20余年,头痛、恶心、呕吐20余天。 病史:患者20余年前开始出现双眼视物模糊,未重视,视物模糊无加重。20余天前患者出现头痛伴恶心、呕吐,遂于外院查头颅MRA平扫+增强提示:鞍区巨大含多发囊变肿块,血供稍丰富并包绕左侧大脑前动脉A1段,两侧颈内动脉海绵窦段受压,左侧脑室前角可疑侵犯,性质待定;双侧脑室重度扩张积水。
查体:双眼各向视野检查不合作,双侧眼球各向运动灵活,无复视,双侧瞳孔等大等圆,对光反射灵敏,双侧鼻唇沟对称,伸舌偏右,左侧巴氏征可疑阳性。 辅助检查:外院头颅MRA平扫+增强:鞍区巨大含多发囊变肿块(大小约5.6cm*3.8cm*6.6cm),血供稍丰富并包绕左侧大脑前动脉A1段,两侧颈内动脉海绵窦段受压,左侧脑室前角可疑侵犯,性质待定(颅咽管瘤?垂体瘤?其他?);双侧脑室重度扩张积水;双大脑半球部分脑沟信号增高,渗出?少许蛛网膜下腔出血?
诊断:鞍区肿物(性质待查?) 治疗:入院后行头颅MR平扫+增强+MRA示::1、鞍区、鞍上占位,考虑垂体大腺瘤囊变、卒中,突向第三脑室生长,第三脑室、右侧侧脑室扩张,左侧侧脑室受压变窄、移位。2、MRA示脑动脉硬化,右侧颈内动脉、大脑前动脉A1、2段受压移位。遂排除手术禁忌症,于全麻下行“神经内镜辅助下经额鞍区鞍上及脑室内巨大肿物切除术+脑室外引流术”,术后病理示:术后病理示:(鞍区、鞍上及脑室内占位)肿瘤由圆形细胞构成,细胞形态较一致,部分细胞胞浆红染,部分透亮,部分细胞有异型性,核分裂象少见,结合免疫组化及临床,符合垂体腺瘤。 免疫组化结果(②):ACTH(-),PRL(-),TSH(-),FSH(+),GH(-),LH(-),Ki-67(1%~2%+),GFAP(-),CD56(+),CgA(+),Syn(+)。









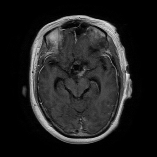
随访:半月后复查MR:鞍区肿物切除术后改变,建议复查;术区及左侧侧脑室积血、积气、积液,双侧侧脑室后角积血;左侧侧脑室引流术后改变,引流管周围脑实质出血;颅内散在积气,左顶及双额下少量硬膜下积液;左侧顶颞部硬膜下少量硬膜下出血。 1、垂体瘤是一组从垂体前叶和后叶及颅咽管上皮残余细胞发生的肿瘤,垂体瘤约占颅内肿瘤的10%,此组肿瘤以前叶的腺瘤占大多数,来自后叶者少见。2、临床表现是包括激素分泌过多及过少引起的相关症候群,以及压迫症状。3、治疗:治疗方案的选择必须视肿瘤的性质、大小、周围组织受压及侵蚀情况与垂体功能、全身病情等具体条件而定。



