下载或打开 医联APP 查看完整评论
立即下载
打开APP
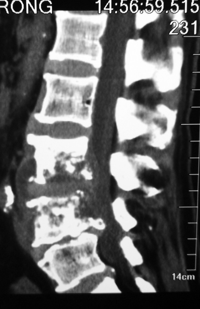
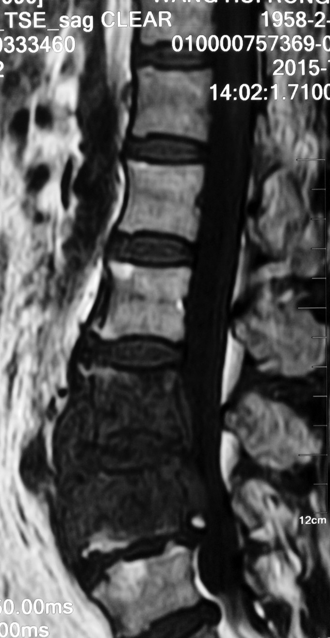
患者女性,58岁。 腰痛间断性发作2年,加重伴左下肢疼痛不适4月 疼痛以久坐和劳累后症状明显,近4月上述症状加重,伴有左下肢麻木疼痛感,经卧床休息后不能缓解。







腰3-4/4-5间隙及椎板压痛及叩击痛,无明显下肢放射痛。左大腿前外侧及膝以下感觉有减退,左侧髋、膝肌力5级,拇趾背伸肌力4级,肌张力不高,左下肢直腿抬高试验40°阳性,加强试验阳性。右下肢感觉肌力正常。 血沉 99mm/h C反应蛋白:4.1ng/L 斑点试验:抗A 111,kangB 127
1.腰3-4结核 2.腰4-5椎管狭窄 因术前血沉比较高,所以予以HREZS抗痨治疗2周,血沉至44mm/h,患者一般情况较前好转。安排手术治疗:后路腰3-4椎间病灶清除椎板植骨+腰4-5减压植骨内固定融合术。


此患者腰椎结核伴有相邻节段椎管狭窄,所以兼有两者的症状。对于此病例我们考虑因患者椎体前方脓肿不明显,所以考虑一起行后方椎间隙病灶清除,植入自体椎板骨融合内固定,同时进行腰4-5后路减压内固定融合术。 不知大家对结核的病人一般是通过何种方式进行病灶清除的?选择原则是什么?