打开应用

腰椎融合术(原创)

杨医师   四川大学华西医院

主诉 病史

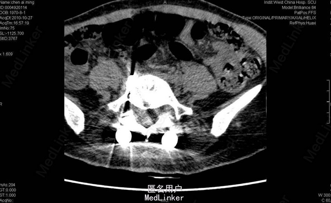
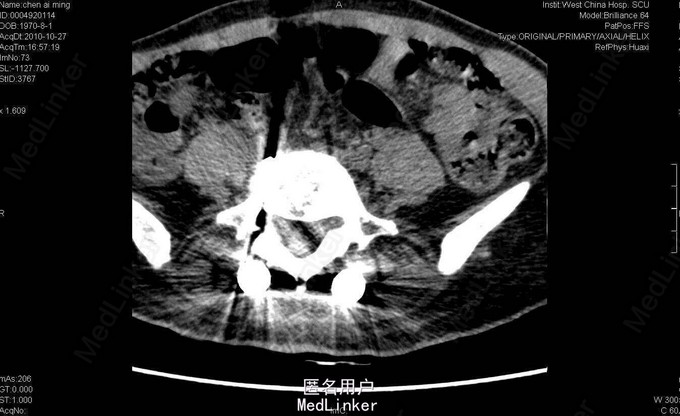
女,40岁2月,因“腰部反复疼痛2+年,加重伴双下肢疼痛、麻木1+年”入院。视:脊柱外观无畸形,皮肤未见红肿、皮疹、破溃、色斑等,无明显包块。触:腰5骶1椎棘突压痛,椎旁肌压痛,无放射痛。腰骶部感觉麻木。双下肢小腿外侧及足背感觉减退,右侧明显,其余肢体感觉正常,肌张力正常。鞍区右侧感觉减退。双下肢足背动脉搏动好。皮温正常。双膝腱减弱,踝阵挛、髌阵挛(-),巴氏征(-),右下肢直腿抬高试验(30°),直腿抬高加强试验(+),左下肢直腿抬高试验(-)。“4”字征阴性。动量:腰部不能屈伸活动,侧弯可,双下肢活动度正常,四肢肌力正常。CT及MRI:腰5骶1椎间盘脱出,腰4-5椎间盘轻度膨出,硬膜囊受压;腰5骨质增生。腰5骶1椎间盘突出症伴小关节退变。双侧椎板开窗腰5骶1椎间盘髓核摘除、内固定术。

发布于 15-09-25 18:05

0 个评论

暂无评论
发送