打开应用

甲状腺畸胎瘤

林医师   徐闻县人民医院
双侧甲状腺次全切术 甲状腺肿 左侧甲状腺肿

主诉 病史

患者男,50岁,因“体检发现甲状腺内肿块1年余”入院。患者于2013年5月参加公司组织的体检,B超发现甲状腺内肿块,肿块较小,触诊不可及。1年余来患者一直随访观察,肿块呈缓慢生长。2014年8月,患者自觉可触及肿块,遂今前来我院就诊。患者既往史无特殊,其父亲患有肺癌。

查体 辅查

查体:左甲状腺可触及一直径2cm结节,质中,两结节均边界清楚,随吞咽上下活动。余查体未见明显异常。 辅助检查:血尿常规、肝肾功未见明显异常。B超:双侧甲状腺回声均匀,左甲状腺上方探及一大小2。5cm×1.0cm 囊性包块:彩超:左甲状腺包块内未见明显血流信号。

诊断 处理

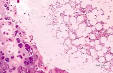
诊断、治疗:术前诊断为左侧甲状腺肿,行 双侧甲状腺次全切术,术中冷冻病理诊断为(左)甲状腺良性畸胎瘤。光镜下见左侧结节囊壁由柱状上皮、鳞状上皮和腺体构成,并含有成熟软骨,内部可见骨髓及脂肪组织。病理诊断为( 左)甲状腺成熟性囊性畸胎瘤。患者术后恢复良好。

随访 讨论

随访:患者随访至今未复发。 讨论:畸胎瘤是来源于性腺或胚胎剩件中全能细胞的肿瘤 ,最常发生在卵巢和睾丸,发生在甲状腺极为罕见西 方国家文献观点认为 ,甲状腺畸胎瘤多发生在婴幼儿,且表现为良性;在成人,多不发生甲状腺畸胎瘤,一旦发生则多为恶性。而中国甲状腺畸胎瘤多发生在成年人,而且绝大多数为良性。甲状腺畸胎瘤为罕见肿瘤,术前诊断易误诊。

发布于 15-09-24 23:52

6 个评论

发送