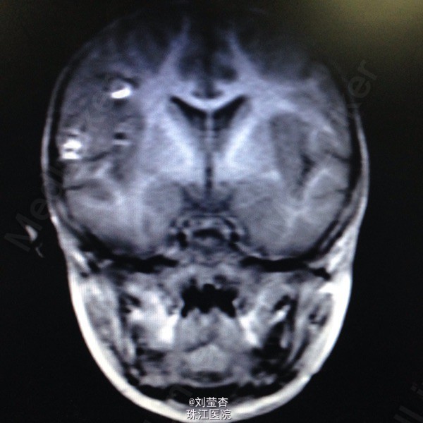
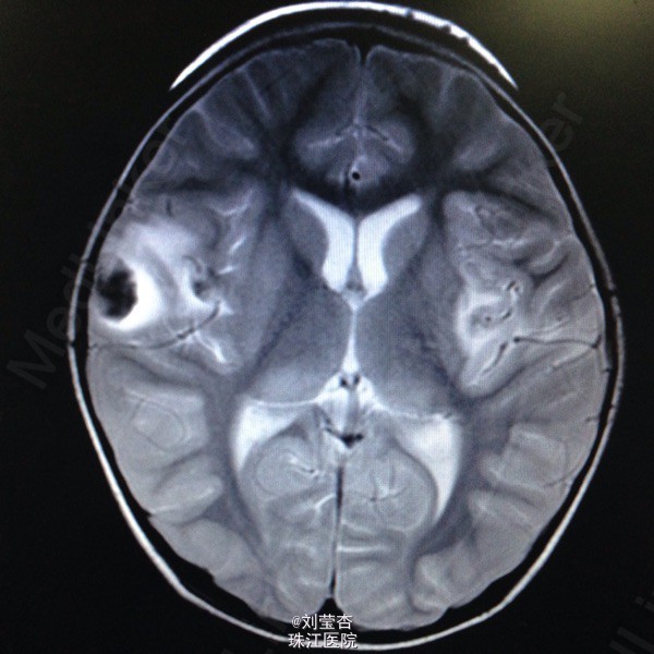
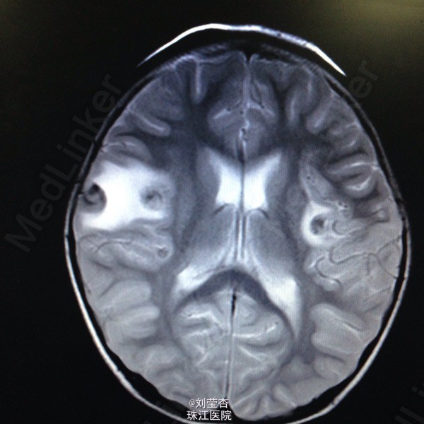
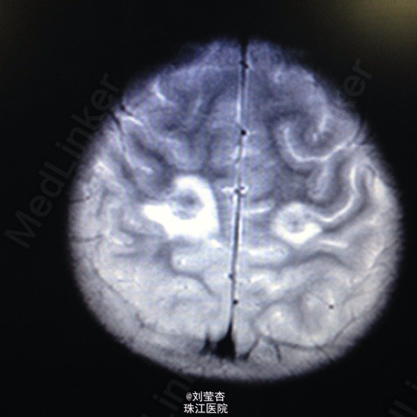
患儿女,3岁,因“咳嗽、流涕6天,发热5天,抽搐1次”入院。患儿接触家猫后出现流清涕,伴咳嗽,为间断单声咳,2天后出现发热,热峰39.5℃,予退热处理,患儿仍有反复发热,后患儿出现双眼向中上方凝视,双眼眼周肌肉抽动,伴口角流涎,无伴口周发绀、牙关紧闭,神志清楚,呼之可应,体温不详,四肢末梢温暖,四肢肌张力不高,持续约1分钟后可自行缓解。到当地医院就诊,查血常规:白细胞10.8G/L,中性粒细胞66.1%,淋巴细胞百分数27.1%,血红蛋白110g/L,血小板272 G/L,CRP4.2mg/L;胸片示支气管炎;头颅CT示右侧颞叶、双额叶多发散在脑出血。予吸氧、退热、抗感染、抗炎、补液、降颅压、止血等处理,患儿未再出现抽搐,患儿仍有反复发热,家属要求转我院进一步治疗。
查体:浅昏迷,反应一般,CRT2s,左侧耳后级颌下可触及3个肿大淋巴结,大小为0.5*0.5cm,质软,可活动,无压痛,与周围组织不粘连,双侧瞳孔等大不等圆,左侧瞳孔3mm,右侧瞳孔2.5mm,对光反射灵敏,口腔黏膜可见散在溃疡,咽部粘膜充血,双侧扁桃体Ⅰ度肿大,充血,未见黄白色脓点及分泌物,颈部稍抵抗,双肺呼吸音粗糙,可闻及大量痰鸣音,脑膜刺激症Kernig征可疑阳性,Brudzinski征可疑阳性。病毒八项:RUBE-IgG 26.8IU/Ml,CMV-IgG 117U/Ml,HSV-IgM 2.3S/CO,HSV-IgG 21.0S/CO,病毒两项:EB病毒DNA定量<5.00E+02(阳性)拷贝/mL,巨细胞病毒DNA定量9.65E+02(阳性)拷贝/mL;脑脊液常规:无色,透明,RBC 420M/L,WBC 40M/L,红细胞形态基本正常,潘氏试验(-);脑脊液单纯疱疹病毒DNA定量:单纯疱疹Ⅰ型DNA定量4.79+03(阳性)拷贝/mL,单纯疱疹Ⅱ型DNA定量低于检测下限拷贝/mL。





诊断:1.病毒性脑炎(单纯疱疹病毒感染)2.支气管肺炎。入院后予抗炎、抗病毒、抗惊厥、脱水、降颅压、促醒、输血浆,改善循环、雾化吸入、维持水电质平衡、营养支持等治疗。
目前已转入神经内科行进一步康复训练治疗。