下载或打开 医联APP 查看完整评论
立即下载
打开APP
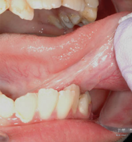
患者八岁,发现舌部有一逐渐生长的肿物一个月,没有其他不适。患者患有共济失调 - 毛细血管扩张症。
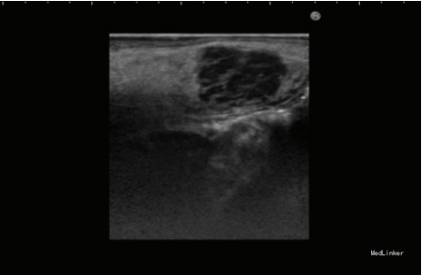
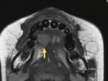
检查发现舌下有一隆起,约1.2*1cm大小,未影响舌功能和运动,唾液分泌正常,周围淋巴结无肿大。 影像检查显示右舌有一不规则圆形肿物,边界不清。




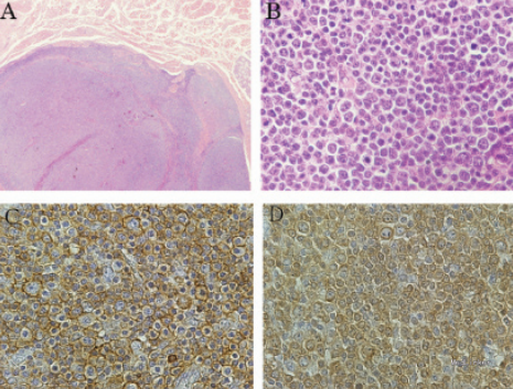
初步诊断为涎腺肿瘤,如多形性腺瘤。然而,由于患者被诊断为共济失调 - 毛细血管扩张症,考虑恶性淋巴瘤的可能性较大。全麻下手术切除,术后配合化疗。病理结果显示为弥漫性大B细胞淋巴瘤。




舌部发生弥漫性大B细胞淋巴瘤的几率较小,但是此病例中患者患有共济失调 - 毛细血管扩张症,发生恶性肿瘤的可能比较高。共济失调 - 毛细血管扩张症(AT)是一种累及神经系统、免疫系统等多系统损伤的综合征,属于常染色体隐性遗传病,特征为进行性小脑性共济失调,毛细血管扩张, 免疫缺陷,和一个倾向白血病或淋巴瘤,预后不良,2/3患者死于20岁以前。因而病例中患者需要长期进行全身监控和排查。3年后患者恢复良好,未出现其他症状。
