下载或打开 医联APP 查看完整评论
立即下载
打开APP
患者女性 ,54岁,言语不能伴右侧肢体活动不利3小时收入院。上厕所时突然发病,出现言语不能及右侧肢体无力。伴有恶心、呕吐黄绿色水样物。当时测血压不高。
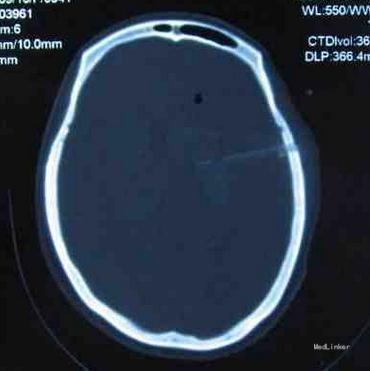
T36.7 P66次/分 R19次/分 BP160/100mmHg嗜睡状,完全运动性失语(后为混合性失语),右眼失明,左侧瞳孔正圆,对光反应灵敏,口角无歪斜,伸舌不合作,左上肢能上举,下肢能屈曲,肌张力可,右侧肢体刺激无反应,肌张力偏高,右侧Chaddock征可疑阳性,感觉,共济检查不合作。入院5日复查头CT出血量无明显变化(量约20ml),但占位效应明显,中线有移位。

入院6天行微创颅内血肿清除术。穿刺点选择(左侧OM线上6cm,距前额8cm,进针深度6.5cm)。术后3天复查头CT颅内积血已完全清除干净,予拔管,有脑脊液外渗,予头皮缝合1针。

现患者意识清楚,言语较流利,但右侧肢体肌力无变化,肌张力低。 现正进行康复治疗。