打开应用

肝胆管结石伴胆管炎

姜医师   中国医学科学院阜外医院
腹痛 胆管结石伴胆管炎 肝胆管结石伴胆管炎

主诉 病史

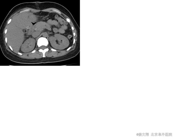
女,41岁,主诉:腹痛、呕吐伴发热1天。 现病史:患者1月前因反复发热2周伴腹痛入院,行腹部CT示:肝内胆管结石。完善检查后于2015-08-10行(腹腔镜中转开腹)肝左外叶切除、胆囊切除、胆总管切开取石、胆道镜探查取石、T管引流术。术后复查腹部CT提示:肝右叶胆管结石。患者术后恢复良好,带T管出院。1天前患者出现发热、右上腹部疼痛,呈持续性,痛疼向腰背部放射,伴恶心,呕吐数次,呕吐物为胃内容物,有寒战,为进一步明确诊断,积极、合理治疗,来中日医院普外科就诊,今收治入院。

查体 辅查

墨菲氏征阳性。肝脾未及肿大,肝区叩痛阳性

诊断 处理

肝胆管结石术后腹痛待查 处理:抗炎解痉禁食水,待血培养结果

随访 讨论

大家集思广益下:总结下你在临床上的呕吐的原因有哪些啊?和胆道手术有关的

发布于 15-09-23 20:48

1 个评论

发送