下载或打开 医联APP 查看完整评论
立即下载
打开APP
患者女,41岁,因“扭伤后左膝关节疼痛1年余”入院。患者1年前不慎扭伤后右膝关节出现疼痛,上下楼梯时加重,后患者自行于中药外敷患者,疼痛症状稍有缓解。1个月以来患者疼痛症状反复,现患者为求进一步诊治前来我院就诊,余未见明显异常。
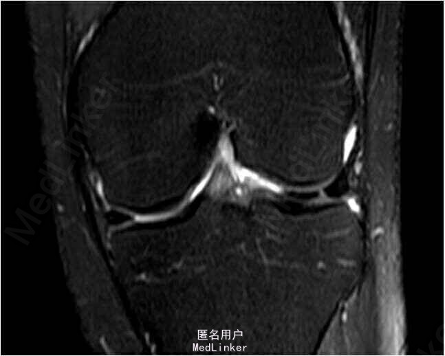
查体:双下肢无畸形,左膝关节关节间隙压痛,麦氏征(+),肢端血运、感觉、活动正常。右下肢及双上肢其余关节未见明显异常。MRI检查提示:左膝关节外侧半月板体部横断裂。


诊断:左膝关节外侧半月板体部横断裂。行手术左膝关节镜检及半月板修补术。术后开始行股四头肌肌力训练及踝泵训练。术后定期门诊复诊并行主被动康复训练。
现患者随访4个月,右膝关节未见疼痛,活动度0~135°,麦氏征(-),现已逐渐开始恢复日常活动。 半月板损伤后的常见临床表现包括局限性疼痛、关节肿胀、弹响和交锁、股四头肌萎缩、打软腿以及在膝关节间隙或半月板部位有明确的压痛。外伤史,局部局限性疼痛、关节肿胀、弹响和交锁、股四头肌内侧头萎缩。局部压痛,McMurray试验(+),Apley研磨试验(+)。X线检查除外其他骨质疾患,MRI检查,能明确诊断。为了用尽可能小的创伤对半月板损伤进行有效的治疗,关节镜技术无疑是最好的选择。