下载或打开 医联APP 查看完整评论
立即下载
打开APP
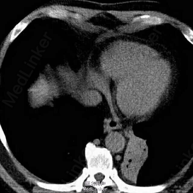
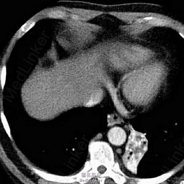
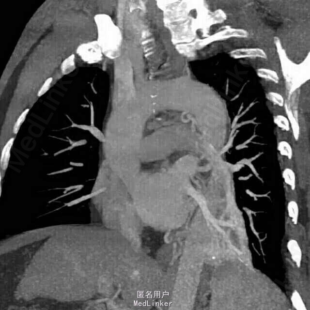
女,50岁。 间断咯血25年余,加重1月,行肺部增强CT。
患者胸部增强CT及血鬼重建影像学表现包括:边界清晰、病变有主动脉分支供血、病变静脉引流入肺静脉。
考虑影像学诊断为:肺隔离症
左肺下叶内前基底段脊柱旁可见斑片影,边界清晰,其内可见支气管气相,平扫密度尚均匀,增强后病变内强化不均匀,可见多发血管影,血管重建示病变由主动脉弓及降主动脉迂曲增粗的小分支供血,可见一直粗大静脉引流入左肺静脉。根据病变部位,供血动脉来源于体循环,静脉引流入肺静脉,此例为典型肺隔离症,已被术后病理所证实。 肺隔离症是一种先天性肺发育畸形,主要特征是部分胚胎肺组织与正常肺组织隔离,病变肺组织的动脉供应由体循环直接分出的动脉分支供应,静脉回流至肺静脉或体循环。尽管其表现多种多样,体动脉向肺组织供血为其最特征表现。常分为叶内型及叶外型2种,最常见为叶内型,多为体动脉单支血管供血,无单独胸膜包裹。叶外型有单独胸膜包裹,多位于膈肌下,由肺或体血管供血,血管较小,多伴有其他先天畸形。本例为叶内型,隔离的肺组织易反复发生感染,出现相关临床表现。 肺炎主要表现为肺实变或不张,常伴有病变周围斑片或淡片影,边界可不清晰,临床症状有助于诊断。 肺癌侵犯病变内及周围血管、支气管,造成支气管闭塞伴远端阻塞性炎症,肺门及纵隔常见肿大淋巴结。 支气管扩张伴感染时可见扩张的支气管,可为管状、串珠样或囊泡状,病变周围感染呈斑片影,边界欠清晰。




