下载或打开 医联APP 查看完整评论
立即下载
打开APP
主诉:右上后牙松动明显要求拔除。 现病史:右上后牙松动明显,无法进食要求拔除。 既往史:否高血压、糖尿病、心脏病等其他系统疾病史。


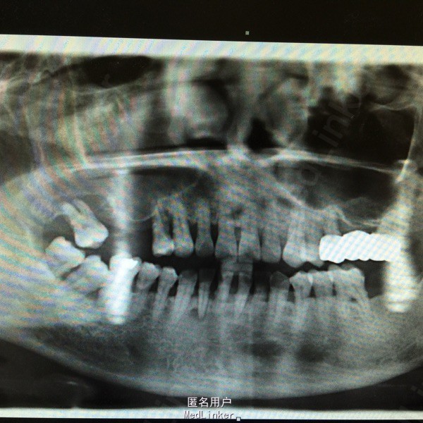
检查:17未及明显龋及隐裂,叩诊(-),松动III度,牙龈无明显红肿,萎缩至根中下1/3,牙周袋约3mm,冷(-)。 全景片示:17根尖位于上颌窦内,右侧上颌窦密度增高。
诊断:17牙周炎 上颌窦慢性炎? 治疗:17局麻下拔除,常规拔牙术后医嘱。 择期行上颌窦根治术及口腔上颌窦瘘修补术。
讨论:有时松动明显的牙周炎拔除没有难度,容易忽视术前片的拍摄,结果导致病人口腔上颌窦瘘,要引起重视,以免发生不必要的纠纷。 此病例为学生拔牙没有认真读片,上颌窦病变没有诊断出来,同时也没有意识到口腔上颌窦瘘的发生。