下载或打开 医联APP 查看完整评论
立即下载
打开APP
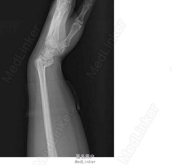
患者2小时前外伤后摔倒在地,出现左侧腕关节疼痛伴活动受限,双手掌心擦伤,左手腕部尺侧擦伤。于急诊行左手正斜位示:左侧桡骨远端骨折(barton骨折)。急诊予石膏托固定腕关节,为行手术治疗,急诊收入院


左手腕关节压痛明显,未触及骨折断端,局部软组织挫伤,肿胀明显,左手手指活动可,感觉无明显异常。 左手正斜位示:左侧桡骨远端骨折(barton骨折)
诊断:右侧桡骨远端骨折(barton骨折) 双手皮肤软组织挫伤 行左桡骨远端骨折切开复位内固定术


术后恢复良好