下载或打开 医联APP 查看完整评论
立即下载
打开APP
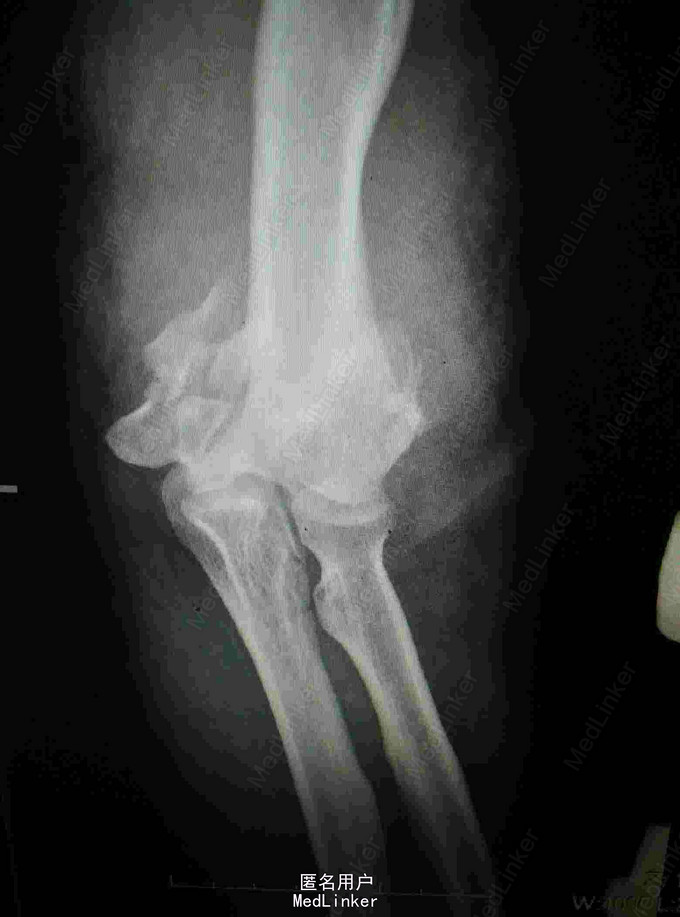
外伤致左肘关节疼痛流血,活动受限4小时 患者青年女性,因不慎摔倒致左肘疼痛流血,当即出现活动受限,肘关节可见骨外露,于当地医院行X线片提示肱骨髁间粉碎性骨折,清创包扎后入我院进一步治疗。
查体:肘关节可见骨外露,活动受限,肘后三角消失,左腕关节左拇指背伸受限,左拇指小指无法对指,五指并指困难,左手皮肤感觉减弱,以拇指小指明显 辅查:肘关节正侧位片提示肱骨髁间粉碎性骨折


诊断:左肱骨髁间粉碎性骨折 左肘关节脱位 左迟神经 桡神经 正中神经损伤 治疗:左肘关节开放伤清创术+外固定架固定术


随访:术后继续抬高患肢消肿,行腕指功能锻炼,定期复查 讨论:患者骨折严重,涉及关节面及神经损伤,术后能恢复到什么程度不明确,既往有相似患者术后功能锻炼充分肘关节功能亦可得到良好恢复,想请教各位对固定方式选择的看法?