下载或打开 医联APP 查看完整评论
立即下载
打开APP
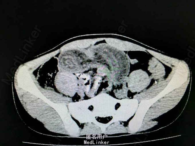
患儿,男,13岁,因“黑便伴右下腹痛7 小时”入院。 患者7小时前无明显诱因出现腹痛,位于右下腹,为持续性绞痛,休息可缓解,疼痛无放射 至其它部位,伴有恶心、呕吐,无伴发热、返酸、嫒气、腹胀、腹泻、呕血、黑便、血便, 遂到我院急诊就诊,行腹部CT 提示”考虑肠套叠,局部肠管水肿”,为进一步诊治,急诊 拟“腹痛查因:肠套叠”收入我科。
腹平,腹软,脐周及右下腹压痛,反跳痛可疑,腹部移动性浊音(-),肠鸣音4次份。 腹部ct提示“下腹部局部小肠肠壁明显增厚,密度减低,局部可见肠管套入,可见多层肠壁显示。考虑肠套叠,局部肠管水肿”。


入院诊断:肚痛查因:肠套叠。 有探查指征,完善术前检查后急诊探查:术中见回肠距回盲瓣约70cm 处可见梗阻,为回一回肠套叠,回纳套叠肠管后发现肠管有一成倒T 字型异常突起,形成一盲端,长约5cm,末端可及约lcm 肿物,遂行小肠套叠复位+异常肠管切除术。 术后病理示“ 小肠发育异常伴异位胃组织”。

既往经验往往认为成人肠套叠一般都有病理性因素,如肠息肉、肠肿瘤;而小儿肠套叠往往不伴有器质性因素,但本病例中小肠有先天性发育异常并有胃粘膜异位,提示我们临床工作中碰到此类病人要慎重考虑!