下载或打开 医联APP 查看完整评论
立即下载
打开APP
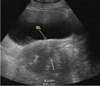
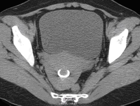
女性,42岁,上环15年。
【影像表现】 后位子宫,大小形态正常,包膜光整,实质回声均匀,宫内见节育环回声,位置正常。CT扫描示子宫大小及形态未见明显异常,肌层密度均匀,宫腔内可见一节育环密度影,位置未见异常。
【诊断】 宫腔内节育环 【鉴别诊断】 宫腔内异物
【讨论】子宫内放置节育器是最简单有效的避孕方法,节育器有多种形状,国内以金属圆形单环最多见,其次为“T”形及花瓣状。 1.影像诊断要点:① 盆腔X线透视及平片可对其位置和形状做出准确的诊断;② 超声检查可见宫腔内强回声节育环回声;③ CT检查可见宫腔内的金属密度节育环影,以上几种检查都可对节育环的位置及形状做出准确的诊断。 2.鉴别诊断:主要与宫腔内异物及钙化鉴别,后者多为形态不规则或有特定形态,结合临床病史即可做出鉴别诊断。

