打开应用

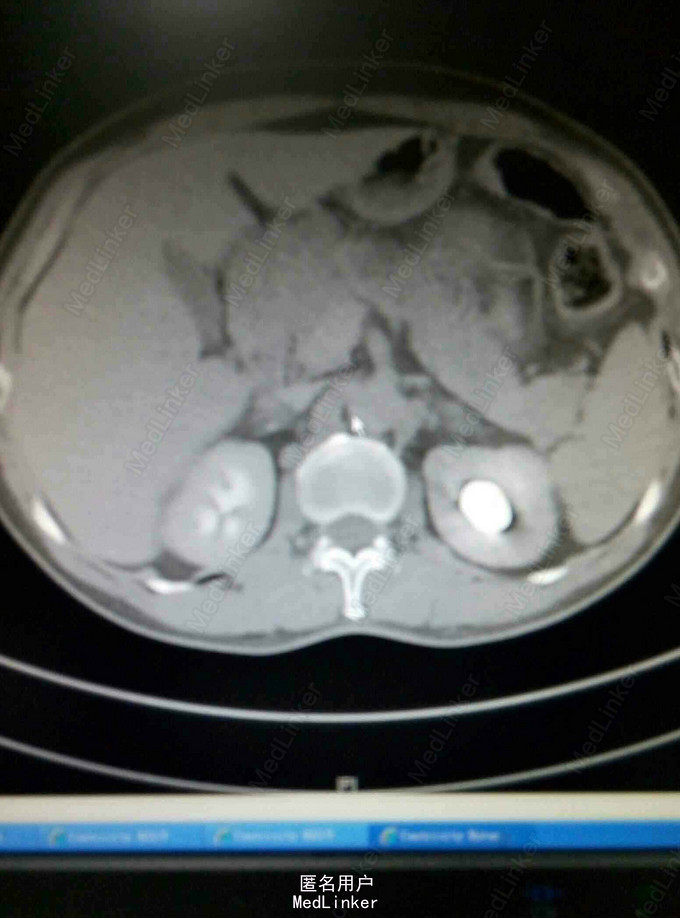
左肾结石一例

孟医师   中国人民解放军联勤保障部队第九八五医院
肾结石

主诉 病史

男,60岁。左腰不适二周。二周前自觉左腰部不适,无肉眼血尿及腰背绞痛。

查体 辅查

左肾区有叩痛。尿中白细胞20/hp。

诊断 处理

左肾结石,行经皮肾镜取石术。术后效果良好。

随访 讨论

术前感染存在,应予以积极抗炎,否则术后易发生严重感染。此患者术后恢复良好。

发布于 15-08-24 21:23

0 个评论

暂无评论
发送