下载或打开 医联APP 查看完整评论
立即下载
打开APP
主诉:渐进性视物模糊3月余。 现病史:患者,女, 36岁,患者自诉近 3 至 4 个月出现双眼渐进性的视力下降。近 2 周内患者出现轻度的感音神经性耳聋。遂于今日来我院门诊就诊。
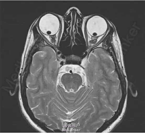
眼科查体:双眼巩膜呈蓝色,双眼视力明显下降,右眼视力为 0.25,左眼为 0.05,双眼眼压正常;瞳孔散大后裂隙灯检查发现双眼晶状体脱位入玻璃体腔,眼底检查发现存在视网膜变性,但是未见视网膜撕裂及视网膜脱离的任何迹象。 患者出现无法解释的听力下降而予以头颅 MRI 扫描,在眼眶的 MRI 扫描 T2 影像图片(图 1)中可见双眼晶状体向后异位入玻璃体腔。 图 1:患者头颅 MRI 扫描中经眼眶层面的 T2 影像

诊断:马凡综合征眼病并发症 治疗:患者拒绝行手术治疗,因此予以佩戴矫正性眼镜保守治疗。而患者的听力下降则考虑为病毒感染所致,予以糖皮质激素治疗后患者听力下降的症状完全消失。
随访:2 年后随访,患者的视力保持稳定,此期间并未出现加重 讨论:马凡综合征是一种常染色体显性遗传疾病,主要累及结缔组织,眼部则以晶状体异位为常见。