下载或打开 医联APP 查看完整评论
立即下载
打开APP
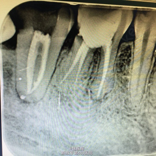
患者毕某,女性,右下后牙不适数日。数日来右下后牙自发痛影响睡眠,影响进食,来院就诊。



查体:47远中邻面龋坏,探(+),冷(+),叩(-),X线示远中龋坏近髓,48近中阻生,47,48之间食物嵌塞。



诊断:牙髓炎 处理:局麻下,47降牙合,去腐,开髓,揭髓顶冲洗,拔髓,根管疏通测量及机用镍钛器械进行根管预备,次氯酸钠进行根管冲洗,大椎度牙胶尖试尖,进行根管充填。Zoe暂封,观察嵌体修复。择期拔除48。
对于无咬合的阻生齿应该尽早拔除以免对其他牙齿造成损害。