下载或打开 医联APP 查看完整评论
立即下载
打开APP
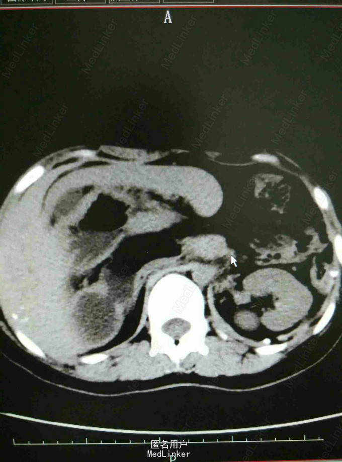
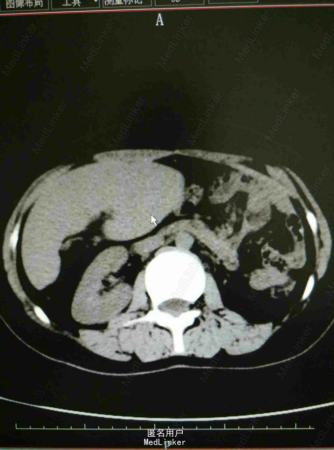
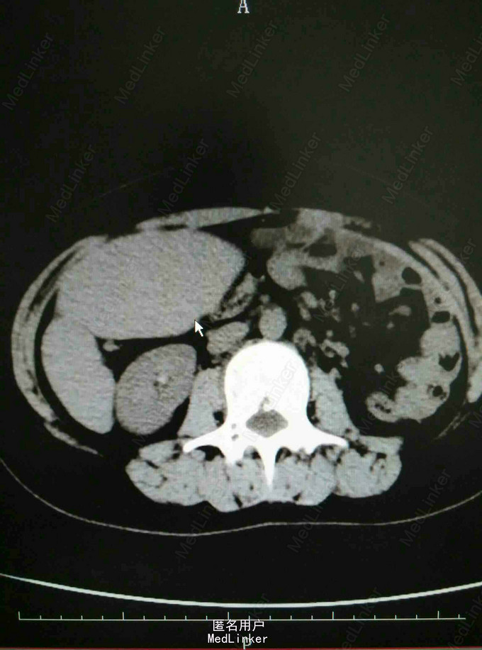
体检发现脾大一年余 患者于2014年04月体检时发现脾大、先天性膈疝。于2014年07月在中南大学湘雅医学院行胸膈疝修补术,具体术式不详,术后恢复良好。现患者为求进一步诊治入我院,门诊拟‘‘脾肿大 脾功能亢进’’收治住院。起病来,饮食睡眠可,精神良好,体重、体力无明显改变。青霉素过敏,余无特殊。
专科查体:腹平软,未见胃肠型及蠕动波,未见腹壁静脉曲张;全腹无压痛,反跳痛,肝肋下未及,胆囊未触及,右肋下脾脏可触及,Murphy征阴性;叩诊鼓音,未及移动性浊音,肠鸣音正常,肛门指检未检。入院总蛋白、白蛋白正常,白细胞2.50*10 9/L,红细胞4.36*10 12/L,血小板172*10 9/L,CT提示内脏移位,脾大,余检查无特殊。




入院诊断:脾机能亢进 处理:全麻下行腹腔镜下脾切除术,术后病理提示慢性脾瘀血。
患者术后恢复良好,嘱出院后加强营养,不适随诊。 讨论:患者曾行先天性膈疝修补术,脾脏的移位是为修补手术影响所致,还是先天形成?