下载或打开 医联APP 查看完整评论
立即下载
打开APP
男,25岁,2年前无意间发现左腕部包块,约花生粒大,无压痛,质韧,边界清楚,搏动感明显,包块逐渐增大至板栗大小。
超声示,左桡动脉并血栓形成,门诊以桡动脉瘤收住入院。 患者神志清,精神可,二便正常,一般查体均正常。 转科查体,四肢无畸形,下肢静脉不曲张,左腕部桡侧可见大小约3*2*1.5包块,质韧,活动尚可,可触及搏动,与心脏搏动一致,皮温正常


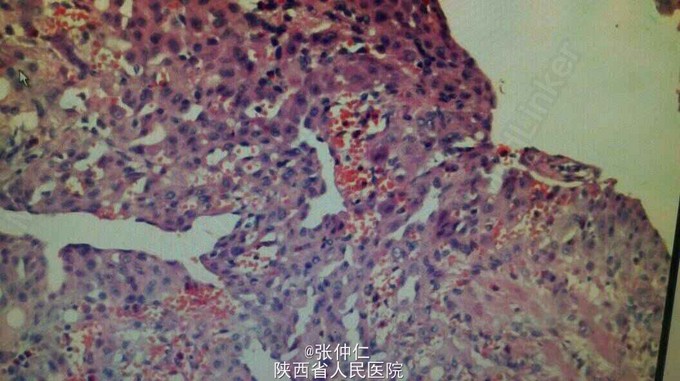
经臂丛神经麻醉行包块切除术,术后病理示上皮样血管瘤,镜下可见血管增生,免组染色,CD31,CD34均阳性,Ki67 10%+

上皮样血管瘤的最佳处理方式为局部完整切除并随访,据报道,本病的复发率为30%,具体原因不详,可能与局部血管异常持续存在有关。