下载或打开 医联APP 查看完整评论
立即下载
打开APP
打开应用
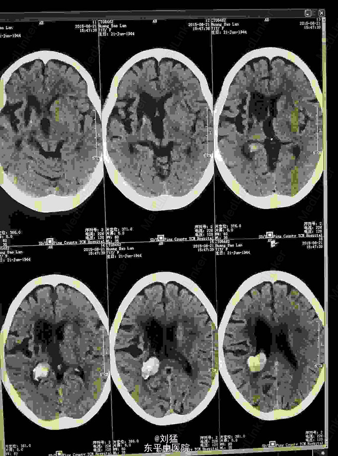
侧脑室病例 脑膜瘤?
刘医师
东平县中医院
脑膜瘤
主诉 病史
患者女,71岁,查体发现
发布于 15-06-22 16:46
医联推荐你看
(左侧脑室)脑膜瘤
左侧脑室后角巨大脑膜瘤
侧脑室砂砾体型脑膜瘤一例
共
0
个评论
暂无评论
发送
0