患者中年男性,43岁; 主诉:外伤后头部疼痛,流血,左前臂及左小腿肿痛,不能活动18小时。 现病史:患者18小时前被人打伤后,致头部疼痛,流血,左前臂及左小腿肿胀不能活动,当时昏迷不省人事,具体时间不详,在外院行清创缝合,夹板固定后,于今日来我院就诊。
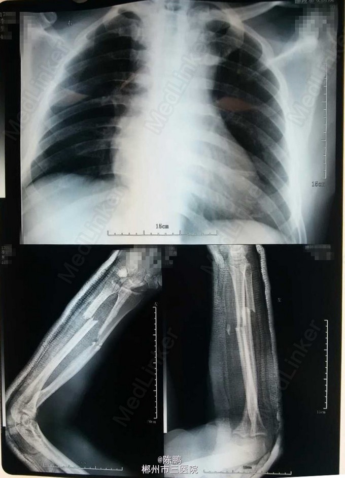
专科体查:左前臂明显肿胀,局部皮肤青紫,压痛,纵向叩击痛,可扪及明显骨擦感及闻及骨擦音,左前臂活动受限,左桡动脉搏动可,左小腿少肿胀,局部皮肤青紫,压痛,纵向叩击痛,中下1/3处可扪及明显骨擦感及闻及骨擦音,左小腿活动不能,左足背动脉搏动可,肢端血运感觉可,余肢体及脊柱未见异常。 辅查:x线示:左尺桡骨,左胫骨下段,左腓骨上段骨折









诊断:1.左尺桡骨骨折 2.左胫骨下段腓骨上段骨折 3.头部外伤:1)脑震荡 2)头皮挫裂伤 3)颅内血肿脑挫裂伤待查 行左胫骨下段骨折切开复位带锁钉内固定及左尺桡骨下段骨折切开复位,钢板内固定术
吃桡骨骨折治疗 1.一般治疗 (1)儿童青枝骨折 多有成角畸形,可在适当麻醉下,轻柔手法牵引纠正,石膏固定6~8周,亦可用石膏楔型切开法纠正成角畸形。 (2)有移位骨折 先纵向牵引纠正重叠和成角畸形,并在持续牵引下,如系上1/3骨折(旋前圆肌止点以上),前臂要置于旋后位;中下1/3骨折(旋前圆肌止点以下),前臂要置于旋转中立位,以纠正旋转畸形,然后在骨折处挤压分骨恢复骨间膜的紧张度和正常间隙,最后使骨折端完全对位。复位后用长臂石膏管型固定8~12周,石膏成型后立即切开松解,固定期间要注意观察肢端血循环,防止发生缺血挛缩。肿胀消退后,及时调整外固定松紧度,注意观察和纠正骨折再移位。 2.开放复位、内固定 适用于手法复位失败者或复位后固定困难者;上肢多处骨折,骨间膜破裂者;开放性骨折伤后时间不长、污染较轻者;骨不连或畸形愈合、功能受限者。 特别注意事项:采取手法复位外固定时,务必纠正旋转、成角及重叠等移位,以免影响肢体功能。石膏或夹板固定后,务必严密观察肢体感觉及末梢血运,避免发生骨筋膜室综合征。如有怀疑骨筋膜室综合征,应采取及时切开减压,以免出现不可逆损害。