下载或打开 医联APP 查看完整评论
立即下载
打开APP
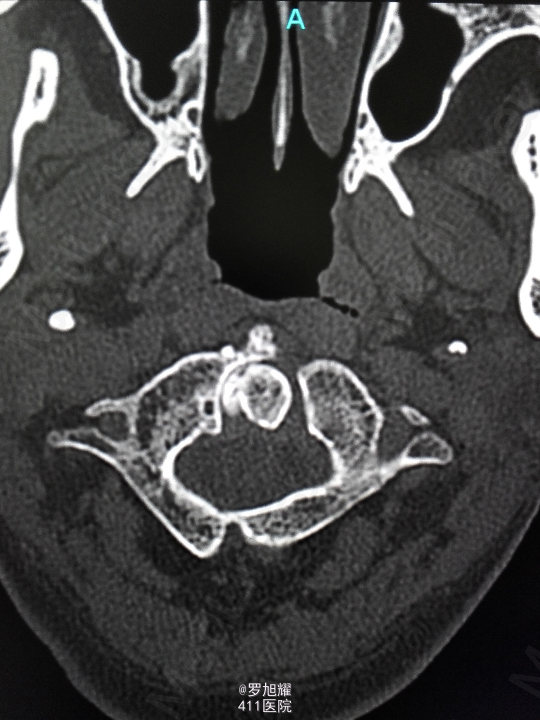
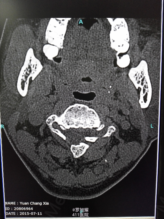
右侧躯体麻木1年,右上肢及下肢麻木2月余。 查体:颈椎活动受限,右上肢肘关节以远痛温觉减退,右侧胸4平面以下痛温觉及触觉减退,四肢肌力尚可,右侧霍夫曼征阳性,右侧上下肢所有腱反射亢进。 颈椎X线示:颈2椎板棘突缺如,颈3棘突肥大增高。 颈椎CT示:颈2椎板棘突缺如,颈3棘突肥大增高,颈2/3椎间盘突出,左侧颈2残留部分椎板进入椎管。枢椎齿突增生,寰枢关节退变。 颈椎MRI示:颈2/3椎间盘突出,左侧颈2椎板进入椎管,颈髓受压变性。







查体:颈椎活动受限,右上肢肘关节以远痛温觉减退,右侧胸4平面以下痛温觉及触觉减退,四肢肌力尚可,右侧霍夫曼征阳性,右侧上下肢所有腱反射亢进。 颈椎X线示:颈2椎板棘突缺如,颈3棘突肥大增高。 颈椎CT示:颈2椎板棘突缺如,颈3棘突肥大增高,颈2/3椎间盘突出,左侧颈2残留部分椎板进入椎管。枢椎齿突增生,寰枢关节退变。 颈椎MRI示:颈2/3椎间盘突出,左侧颈2椎板进入椎管,颈髓受压变性。






诊断为:颈椎先天畸形、颈2/3椎间盘突出伴不全瘫。 因寰枢关节退变,颈椎活动已部分受限,而且枢椎椎板棘突缺如,稳定性差,决定后路减压枕颈融合。


因寰枢关节退变,颈椎活动已部分受限,而且枢椎椎板棘突缺如,稳定性差,枕颈融合虽然造成颈部活动受限,但是稳定性好,避免脊髓再次损伤。本例手术后半月上肢麻木明显改善,躯干和下肢麻木尚待恢复。