下载或打开 医联APP 查看完整评论
立即下载
打开APP
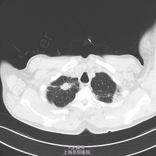
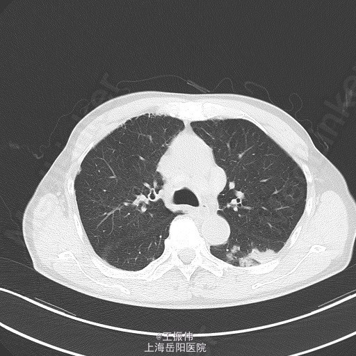
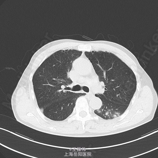
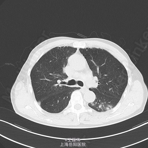
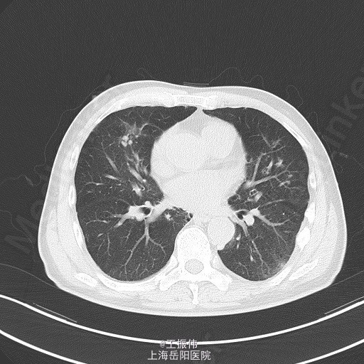
主诉、病史:老年男性,咳嗽咳痰15天,患者15日前因受凉后出现咳嗽,咳黄脓痰,自觉有发热,未测体温,6月25日至我院查血常规:白细胞:7.7*10^9/L,血红蛋白:106g/L,血小板:149*10^9/L,中性粒细胞:68.7,胸部CT:右肺上叶占位灶,两肺小结节灶,纵膈淋巴结增大,左肺下叶、右肺中叶炎症;两肺气肿伴肺大泡。自服止咳中成药(具体不详)后无明显好转。6月27日至地段医院就诊,予头孢羟氨苄片、金荞麦片、强力枇杷露,未见明显好转。
气管居中,颈静脉正常,胸廓两侧对称,无桶状胸,呼吸运动两侧对称,呼吸频率20次/分,肋间隙正常,无胸膜摩擦感。两肺叩诊清音,右肺可闻及湿性啰音,胸部CT:右肺上叶占位灶,两肺小结节灶,纵膈淋巴结增大,左肺下叶、右肺中叶炎症;两肺气肿伴肺大泡。组织病理【z155818】:灰白组织2粒,直径0.1cm。诊断:(左肺下叶开口)肉芽肿性炎,结核可能,请临床做相关病原体检测。支气管镜痰涂片:找到抗酸杆菌。








(传)肺结核,予异烟肼、利福平、链霉素等抗结核治疗。
药物治疗的主要作用在于缩短传染期、降低死亡率、感染率及患病率。对于每个具体患者,则为达到临床及生物学治愈的主要措施,合理化治疗是指对活动性结核病坚持早期、联用、适量、规律和全程使用敏感药物的原则。