下载或打开 医联APP 查看完整评论
立即下载
打开APP
老年男性,主诉:反复黑便9月余。既往有冠心病 史,快速型心房颤动,心功能Ⅲ级。 现病史:9月余前,患者无明显诱因下出现黑便,为成形软便,每日1次,量约200g,无腹痛、腹泻,无发热、畏寒,于当地医院就诊,未作特殊处理。后黑便症状反复出现,多次于外院就诊,诊断为“结肠癌”,予输血等对症治疗。近1年体重下降20千克。
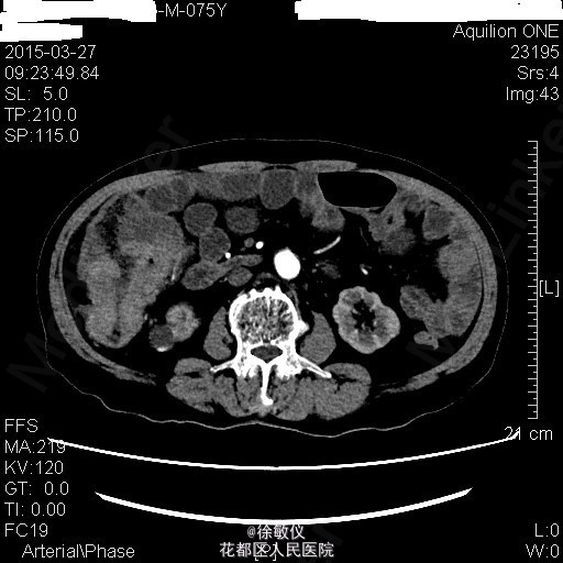
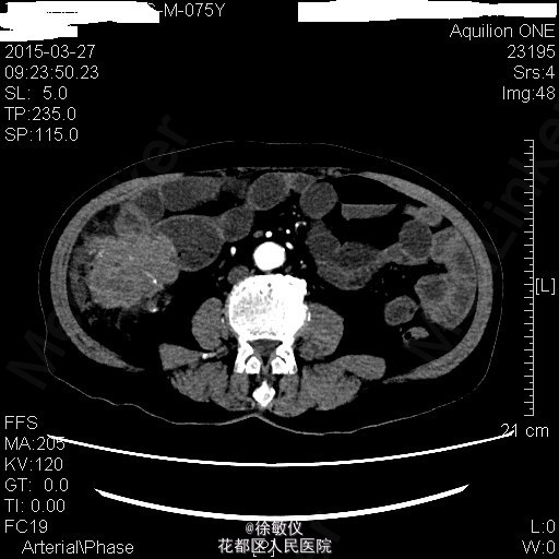
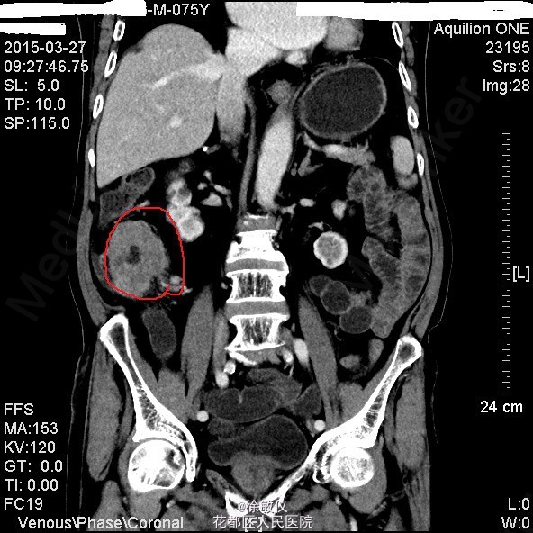
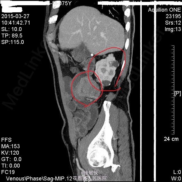
查体:生命体征平稳,贫血面容。腹软,全腹无压痛、反跳痛,右中腹可触及一大小约4*5cm包块,边界清晰,质稍硬。肝脾肋下未触及。 辅查:HGB 82g/L;CA19-9 625.97U/ml;CA-125 24.9U/ml;大便常规示:粪血红蛋白试验阳性。 全腹CT平扫+增强示:1、结肠肝曲及升结肠癌,浸润肠壁全层,周围多发淋巴结转移;2、直肠多发小息肉;直肠下段静脉曲张。





诊断:结肠恶性肿瘤 结肠癌 入院后予补钾、输血及营养支持等治疗。
结肠癌的治疗方法是以手术为主、辅以化疗、免疫治疗、中药以及其他支持治疗的综合方案。但该患者合并有严重的冠心病、心房纤颤,为手术禁忌症,此次住院只做了对症处理,后续治疗需随诊决定。