下载或打开 医联APP 查看完整评论
立即下载
打开APP
男,36岁,因“头面部多发结节溃疡3个月”就诊。3个月前头面部出现多处结节、溃疡,外用抗生索软膏及激光照射无效。追问病史,既往有左上肢上皮样肉瘤,于外院行左上肢截肢术。有肺结核病史3月余。

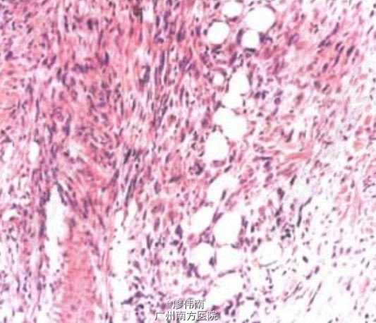
左上肢缺如头皮,鼻背部散在3处花生米至蚕豆大小结节,表面溃疡伴污黑色结痂。组织病理示:胞核不典型,可见有丝分裂。ECT全身骨显像:右颅骨、胸骨、右第3前肋、右侧骶髂关节、右侧髂臼等处可见点状、片状异常核素浓缩影。胸部CT考虑两肺继发性肺结核。

诊断为左掌腕部上皮样肉瘤术后皮肤转移。建议患者行阿霉素+异环磷酰胺+多西紫杉醇化疗,因可能导致免疫力下降,有结核复燃风险,患者拒绝,转外院治疗。
上皮样肉瘤是一种罕见的软组织低度恶性肿瘤,常见于手掌、指屈面及腕部。本病组织学表现有特征性,肿瘤由上皮样或梭形细胞组成多个结节,结节中心多有灶性坏死,呈肉芽肿样。免疫组化方面也有特征性。 本病常反复局部复发,早期即有淋巴结转移,最终可向肺部、胸膜等转移。因此需早期诊断,并作广泛手术切除。若有转移可用化疗。DOI:10.3760/cma.j.issn.0412-4030.2010.01.034