下载或打开 医联APP 查看完整评论
立即下载
打开APP
男,14岁。因“双侧颌角区及颈部结节、溃疡、结痂伴瘙痒10年”就诊。4岁时双侧面颊颌角区及两侧颈部下段出现皮下结节,质硬,无疼痛,伴瘙痒。结节渐增多,溃破,并有脓性分泌物。不久溃疡自愈,形成瘢痕。损害反复发生。患者叔叔、奶奶有肺结核病史。

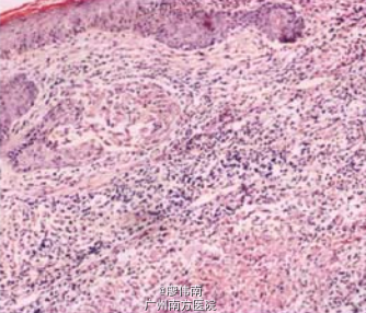
双侧下颌部及颈部可触及数个肿大淋巴结。双侧面部颌角区、颈部见绿豆至拇指大小的结节、脓肿、溃疡、瘘管及瘢痕。脓肿质地中等。溃疡呈狭长形,基底不平呈苍白色、微坚实,其上有结痂,按压有黄红色浆液溢出。皮疹边缘不清,呈条索状分布。结核菌素纯蛋白衍化物试验强阳性。组织切片查抗酸杆菌阳性。


诊断为瘰疬性皮肤结核。予抗结核及调节免疫力等,治疗1个月后,患者结节大部分消失,溃疡、瘘管愈合,局部留有质地中等的纤维囊肿,无分泌物。
出院后继续行抗结核治疗,皮损恢复情况良好。瘰疬性皮肤结核又称为液化性皮肤结核或皮肤腺病。患者常有淋巴结核或骨关节结核向皮肤穿破而形成的溃疡及瘘管、慢性经过等病史特点。本病需与放线菌病、梅毒性树胶肿、孢子丝菌病相鉴别。组织切片查抗酸杆菌有助于诊断。DOI:10.3760/cma.j.issn.0412—4030.2010.01.020