患者,男,24岁,于2014年6月25日入院 主诉:腹痛伴大便夹有粘液1月余 现病史:患者1月前开始出现腹部隐痛,以右下腹为主,大便日1-2次,夹有粘液,无肉眼血便,无里急后重感,无发热恶寒,无咳嗽咯痰,无关节疼痛,患者未重视,未行诊治。症状无改善,患者遂至我院门诊就诊,行肠镜检查提示:肠镜:升结肠粘膜增生肿胀伴溃疡形成(克罗恩病?其他?),待病理;病理示:(升结肠肿物)粘膜慢性炎伴淋巴组织增生。现患者为求进一步系统诊治,遂收入我科。 既往史无特殊。 入院症见:腹部隐痛不适,右下腹为甚,无恶寒发热,无关节疼痛,无里急后重感,纳差,小便正常,大便日1次,夹有粘液,无脓血便。



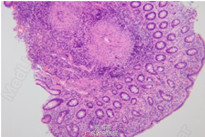
体格检查:T:36.6℃ P:71次/分 R:19次/分 BP:98/58mmHg。腹部查体:腹部软,未扪及包块,右下腹压痛阳性,无反跳痛,余腹部查体无异常,肠鸣音正常。 辅助检查:血常规、输血4项、D二聚体、生化、肝功、心酶、凝血、甲功、免疫6项、CEA、CA199、AFP、尿常规等未见明显异常;粪便常规正常;结核抗体阴性;血沉:29mm/h,C-反应蛋白:12.6mg/L,血脂:TC:3.06mmol/L,HDL-C:0.91mmol/L。胸片、心电图正常。血管炎抗体3项、自免12项未见异常。6月28日行小肠镜检查:、距肛缘约50cm处横结肠、距肛缘约35cm处降结肠可见节段性分布的深大溃疡,被覆白苔,周边粘膜呈息肉样增生,部分呈铺路石样,活检5块送病理。病理示:(升结肠粘膜活检)肠粘膜慢性炎:1.固有膜内慢性炎细胞浸润:重度; 2.中性粒细胞浸润:大量;3.隐窝脓肿:无; 4. 黏膜糜烂溃疡:有;5.隐窝(上皮增生:轻度;不典型增生:无;杯状细胞减少:轻度;潘氏细胞化生:无;腺体萎缩:无)6.炎性息肉形成:无;7.结核样肉芽肿:有。
诊断:肠结核 治疗方案:给予四联(异烟肼、利福平、吡嗪酰胺、乙胺丁醇)抗结核规范治疗3个月,服药期间定期复查血常规及肝功能。
随访:抗结核疗程结束后及半年末分别复查肠镜,结肠溃疡已完全愈合,肠粘膜散在假性息肉,患者无不适症状。 讨论:肠结核是结核分枝杆菌引起的肠道慢性特异性感染。结核分枝杆菌侵犯肠道主要经口感染,也可血行播散引起,或由腹腔内结核灶直接蔓延引起。单纯的孤立性肠结核临床较为少见。肠结核主要位于回盲部即回盲瓣及其相邻的回肠和结肠。临床主要表现为腹痛、腹块、大便习惯改变、腹泻与便秘交替,并发结核性腹膜炎时,可有发热、腹部压痛、渗出性腹水等。实验室检查可有轻至中度贫血,无并发症时白细胞计数一般正常,血沉多明显增快。结核菌素试验呈强阳性有助于诊断。肠镜上表现为肠壁增生以及粘膜溃疡、粘膜壁水肿、假息肉、管腔狭窄。但这些均非特异性,诊断还要依赖活检。本患者活检发现结核样肉芽肿,肠结核诊断明确。给予规范抗结核治疗后,结肠溃疡愈合。