下载或打开 医联APP 查看完整评论
立即下载
打开APP
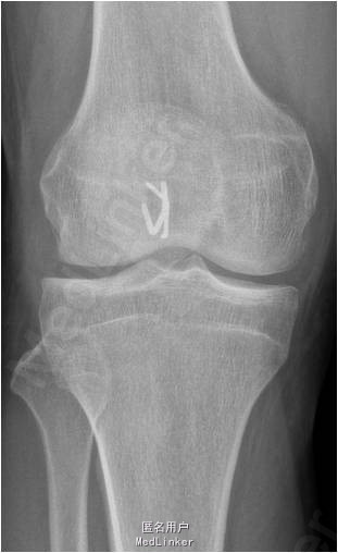
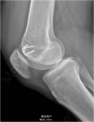
患者男,41岁,因“右膝关节镜术后3月余,依约返院”入院。患者3个月前因右膝髌股关节剥脱性骨软骨炎行“右膝关节门型钉固定术”,现患者依约返院行“门型钉取出术”。
查体:右膝关节活动度良好看,未见明显异常。左下肢及双上肢未见明显异常。


诊断:1.右膝髌股关节剥脱性骨软骨炎术后;2.右膝关节半月板修补术后 行右膝关节镜检及门型钉取出术。术后第二天右膝关节可以开始负重。
现患者随访1个月,右膝关节未见明显异常。 剥脱性骨软骨炎多发于16~25岁之间的男性;膝、肘关节常见,髋、肩、踝或跖趾关节也可见到。常累及一个关节,无全身症状。可出现关节钝痛、活动后加重,休息后减轻,关节肿胀轻。游离体可导致关节绞锁、血肿和创伤性关节炎。查体可见关节肿胀、积液、压痛、触及包块,活动受限可闻捻发音。肌肉萎缩。股骨内髁和外髁、髌骨关节面、肱骨外髁、桡骨小头、踝关节的距骨内上均可发病,可引起压痛。 门型钉为最近比较流行的对剥脱软骨的固定方法,同时也可应用于前交叉韧带重建术中,但其远期疗效缺乏相关充分证据支持。