下载或打开 医联APP 查看完整评论
立即下载
打开APP
打开应用
扭转牙的“扭正”
吴医师
北京大学口腔医院
主诉 病史
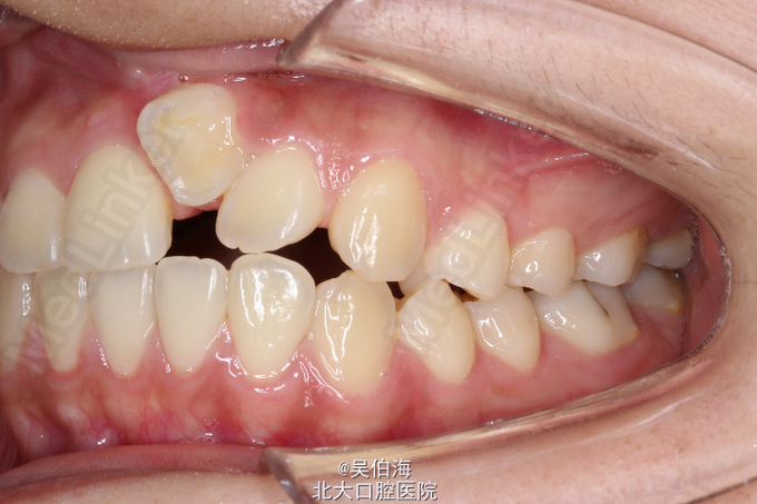
女,18岁,上门牙扭转,求治
查体 辅查
21内翻100多度扭转
诊断 处理
21扭转。 排齐上牙列后,于稳定弓丝下扭正22。
随访 讨论
三月左右,21被基本扭正。世上无难事,只要去扭正!
发布于 15-07-14 00:01
医联推荐你看
睾丸扭转
肺扭转
胃扭转
共
6
个评论
查看更多评论
发送
0