下载或打开 医联APP 查看完整评论
立即下载
打开APP
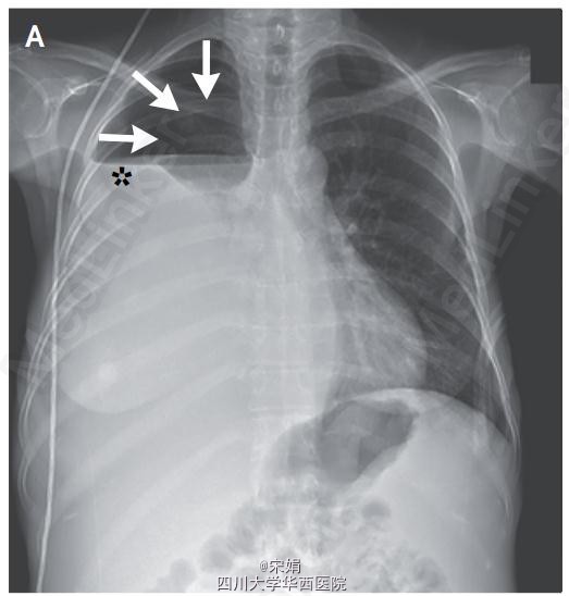
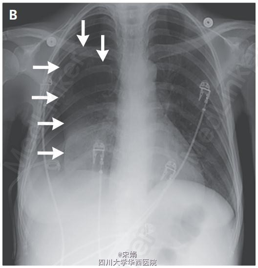
患者为46岁女性,呼吸困难就诊,患者因终末期肝病出现复发性肝性胸水,需要反复胸腔穿刺。胸部检查发现右肺无呼吸音。胸片显示液气胸(图A,箭头显示气胸,星号显示液胸)。遂留置猪尾导管引流胸腔积液,但气胸仍持续存在(图B,箭头)。

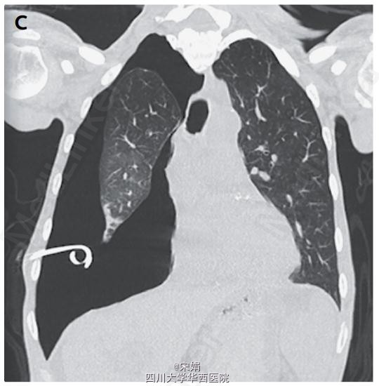
胸部CT扫描发现肺萎陷(伴脏层胸膜增厚,且无气管内梗阻表现(图C)。

此例患者接受了胸腔镜下脏层胸膜剥脱(decortication)及胸膜固定术(pleurodesis),右肺最终完全复张。

肺萎陷是由于慢性炎症过程造成脏层胸膜纤维素性增厚,从而影响肺的复张。顺应性很差的肺与壁层胸膜分离,胸膜腔内充满液体,导致液气胸。由于肺无法复张,因此引流胸腔积液后会导致肺不张后气胸。一旦造成肺不张后气胸的其他病因如气管内梗阻被排除后,可以通过手术治疗肺萎陷,手术去除脏层胸膜纤维素板,以便肺的复张。DOI: 10.1056/NEJMicm1404964