下载或打开 医联APP 查看完整评论
立即下载
打开APP
29岁女性,G2P1,孕25周因B超查出胎儿腹部肿块就诊
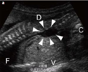
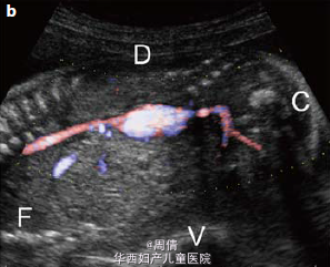
1,2.超声提示在大动脉分叉点以上的降主动脉上有一个动脉瘤,最大直径2cm 3,可见扩大的左脑室和变薄的左侧大脑实质 4,30周时胎儿MRI提示颅腔内的左侧脑室有一个增大的囊性结构




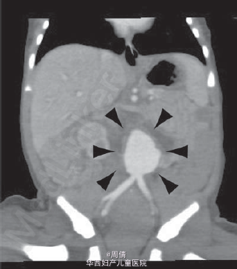
诊断为先天性腹主动脉瘤合并脑穿孔 继续妊娠,孕40周时孕妇产下一个2770g的男婴 体检提示婴儿腹部有一直径2cm的肿块 腹部CT提示降主动脉处有一直径2cm的动脉瘤 脑部CT提示左侧脑室有一囊性结构 出生第三天,MR血管造影提示胎儿期的左颈内动脉阻塞 婴儿6个月时复查腹部CT,提示降主动脉动脉瘤无明显增大,左肾动脉狭窄 因为移植如此小的血管困难太大,所以并未进行手术治疗 但是使用了VP分流器来阻止脑积水的进展





术后随访,患者表现为中等程度的发育迟缓和高血压