下载或打开 医联APP 查看完整评论
立即下载
打开APP
36 岁女性,妊娠 29 周,因左侧下肢轻微外伤后不能走路就诊。既往史:本次入院前左下肢持续性疼痛 1 月余。青少年初期诊断为致密性成骨不全,下肢既往疲劳性骨折史。无相似骨骼疾病家族史。
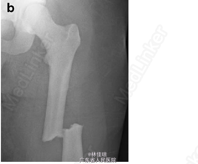
体格检查:颅面畸形、小颌畸形、手部短宽、身材矮小。腹部大小与妊娠周数相符,左下肢明显缩短、外旋畸形,皮肤完整,神经血管功能检查正常。 X 线提示股骨干横向骨折、皮质增厚,对侧股骨皮质增厚和外侧骨裂,提示可能发生骨折。
致密性成骨不全症合并股骨骨折 产科会诊后决定实施骨折切开复位内固定术,即:左侧股骨切开复位、髓内钉固定。术后 2 个月,患者分娩。分娩 2 周后双侧胫腓骨 X 线可见皮质增厚,另见胼胝体形成,与正常相比稍微减少,考虑到是不典型愈合,这与其破骨细胞功能紊乱相一致。手术 3 个月,患者左侧股骨疼痛明显减轻,但右侧股骨疼痛加重。X 线检查为右侧转子下不典型骨折。提议进行预防性手术,但患者本人拒绝。大约一周后,患者因跌倒后右侧下肢疼痛加剧就诊。X 线检查未见股骨进一步损伤。患者选择进行预防性固定术。




二次手术后 1 个月,患者状况良好且疼痛明显减轻。对侧手术亦无感染迹象。双侧股骨植入器位置放置合适。手术 1 年后,患者行走时几乎无疼痛,偶有双侧胫骨疼痛。X 线示双侧股骨愈合情况较好。DOI 10.1007/s00198-015-3191-1
