下载或打开 医联APP 查看完整评论
立即下载
打开APP
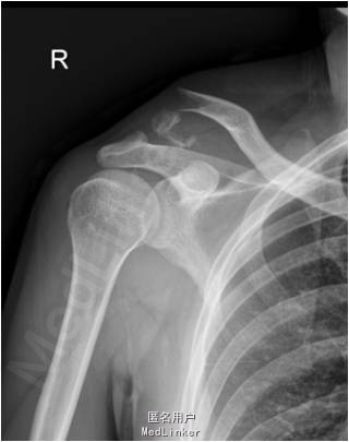
患者男,25岁,因“摔倒后右肩部疼痛伴活动障碍6小时”入院。患者6小时前不慎摔倒后右肩部疼痛伴活动障碍,急诊入院。
查体:右肩部肿胀,局部皮肤破损,无骨外露,无压痛,未引出骨摩擦音及骨摩擦感。左上肢及双下肢其余关节未见明显异常。 X线检查提示:右侧锁骨粉碎性骨折

诊断:右侧锁骨粉碎性骨折。目前拟行右肩关节镜检,关节镜监视下锁骨远端骨折双Endobutton复位内固定,必要时改锚钉复位内固定术。
随着关节镜技术的发展,关节镜监视下的骨折内固定得到了越来越多的应用。请问各位同道关节镜下行双Endobutton复位内固定有什么需要注意的地方?双Endobutton复位内固定和传统的内固定相比有什么优缺点?欢迎大家一起讨论。